AI, 치매 연구의 새로운 지평을 열다
치매는 인지 기능의 점진적인 저하를 특징으로 하는 심각한 질병입니다. 전 세계적으로 치매 환자 수가 증가하면서, 효과적인 진단 및 치료법 개발에 대한 필요성이 더욱 커지고 있습니다. 이러한 상황에서 인공지능(AI) 기술은 치매 연구의 혁신을 이끌 유망한 도구로 부상하고 있습니다. AI는 방대한 양의 데이터를 분석하고 패턴을 식별하는 데 특화되어 있어, 치매의 복잡한 메커니즘을 밝히는 데 기여할 수 있습니다. 특히, ABC-H 프로젝트는 AI를 활용하여 치매를 조기에 진단하고, 질병의 진행을 예측하며, 맞춤형 치료법을 개발하는 것을 목표로 합니다. AI 기술은 뇌 영상, 유전자 정보, 임상 데이터 등 다양한 정보를 통합 분석하여 치매의 원인을 다각도로 탐구하고 있습니다. 이러한 노력은 치매 환자와 가족들에게 희망을 제시하고, 더 나은 삶의 질을 제공하는 데 기여할 것입니다.

ABC-H 프로젝트: AI 기반 치매 연구의 핵심
ABC-H 프로젝트는 AI 기술을 활용하여 치매 연구의 새로운 장을 열어가고 있습니다. 이 프로젝트는 뇌 영상, 유전자 정보, 임상 데이터를 통합 분석하여 치매의 조기 진단, 진행 예측, 맞춤형 치료법 개발을 목표로 합니다.
1. 조기 진단: AI는 미세한 변화를 감지하여 치매의 초기 징후를 파악하는 데 도움을 줍니다.
2. 진행 예측: AI 모델은 치매의 진행 속도를 예측하여 환자 맞춤형 치료 계획을 수립하는 데 기여합니다.
3. 맞춤형 치료: AI는 환자의 특성에 맞는 치료법을 제시하여 치료 효과를 극대화하는 것을 목표로 합니다.
ABC-H 프로젝트는 이러한 목표 달성을 위해 다양한 연구를 수행하고 있습니다. 예를 들어, 뇌 영상 데이터를 분석하여 치매와 관련된 뇌의 변화를 파악하고, 유전자 정보를 분석하여 치매 발병 위험을 예측합니다. 또한, 임상 데이터를 활용하여 환자의 상태를 정확하게 평가하고, 최적의 치료법을 제시합니다. 이 프로젝트는 치매 연구의 새로운 패러다임을 제시하며, 치매 정복을 위한 중요한 발걸음을 내딛고 있습니다.

AI 기술의 역할: 데이터 분석과 패턴 인식
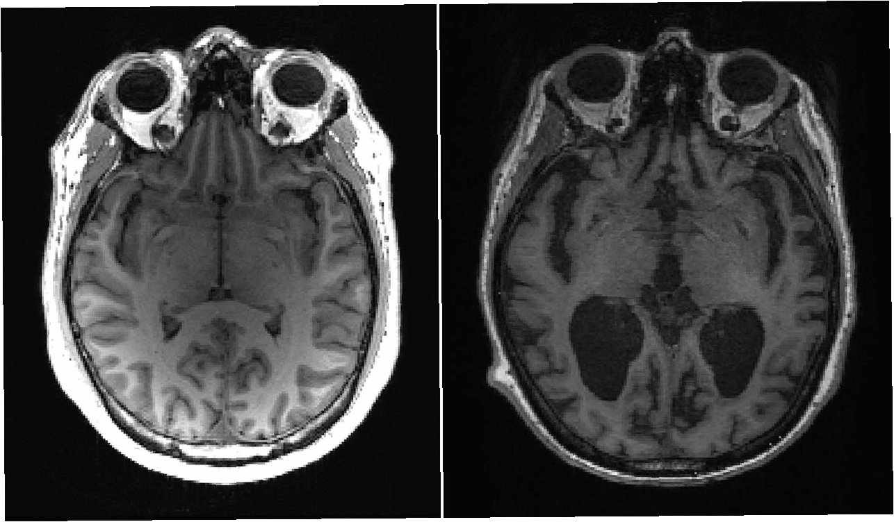
AI 기술은 치매 연구에서 핵심적인 역할을 수행합니다. AI는 방대한 양의 데이터를 빠르고 정확하게 분석하고, 인간의 눈으로는 발견하기 어려운 패턴을 찾아냅니다. 뇌 영상 데이터 분석을 통해, AI는 치매 환자의 뇌 구조 및 기능의 변화를 감지하고, 질병의 진행 단계를 예측할 수 있습니다. 유전자 정보 분석을 통해, AI는 치매 발병 위험을 높이는 유전자 변이를 식별하고, 개인별 맞춤형 치료법 개발의 기반을 마련합니다. 또한, AI는 임상 데이터를 분석하여 환자의 상태를 정확하게 평가하고, 치료 효과를 예측하는 데 도움을 줍니다. 이러한 AI 기술의 활용은 치매 연구의 효율성을 높이고, 새로운 치료법 개발을 가속화하는 데 기여합니다. AI는 치매 연구의 혁신을 이끄는 핵심 동력이며, 미래에는 더욱 발전된 기술을 통해 치매 정복에 기여할 것으로 기대됩니다.

ABC-H 프로젝트의 기대 효과와 미래 전망
ABC-H 프로젝트는 치매 연구에 획기적인 변화를 가져올 것으로 기대됩니다. 조기 진단을 통해, 환자들은 적절한 시기에 치료를 시작하여 질병의 진행을 늦추고 삶의 질을 유지할 수 있습니다. 진행 예측 기술은 환자와 가족들이 미래를 계획하고, 필요한 지원을 받을 수 있도록 돕습니다. 맞춤형 치료법 개발은 환자 개개인에게 가장 효과적인 치료를 제공하여 치료 성공률을 높이고, 부작용을 최소화할 수 있습니다. ABC-H 프로젝트의 성공적인 수행은 치매 연구 분야의 발전을 촉진하고, 새로운 치료법 개발을 가속화할 것입니다. 또한, 이 프로젝트는 AI 기술의 의료 분야 적용 가능성을 입증하고, 다른 질병 연구에도 긍정적인 영향을 미칠 것입니다. 미래에는 AI 기술이 더욱 발전하여 치매의 예방, 진단, 치료 전반에 걸쳐 혁신적인 변화를 가져올 것으로 기대됩니다.

AI와 함께, 기억의 문을 다시 열다
ABC-H 프로젝트는 AI 기술을 활용하여 치매 연구의 새로운 지평을 열고 있습니다. 조기 진단, 진행 예측, 맞춤형 치료법 개발을 통해 치매 환자들의 삶의 질을 향상시키고, 더 나아가 치매 정복의 꿈을 현실로 만들 것입니다. AI의 발전은 치매 연구에 희망을 불어넣고 있으며, 미래에는 더욱 획기적인 치료법 개발을 가능하게 할 것입니다.

자주 묻는 질문들: ABC-H 프로젝트에 대해 더 알고 싶으신가요?
Q.ABC-H 프로젝트는 어떤 기술을 사용하나요?
A.ABC-H 프로젝트는 뇌 영상 분석, 유전자 분석, 임상 데이터 분석 등 다양한 AI 기술을 활용합니다. 특히, 딥러닝과 머신러닝 기술을 기반으로, 대량의 데이터를 분석하고 패턴을 찾아내는 데 중점을 둡니다.
Q.ABC-H 프로젝트의 연구 결과는 언제쯤 확인할 수 있나요?
A.ABC-H 프로젝트는 지속적인 연구를 통해 성과를 창출하고 있습니다. 연구 결과는 학술 논문 발표, 연구 보고서 발간 등을 통해 공개될 예정이며, 관련 정보는 프로젝트 웹사이트 및 연구 기관의 공식 채널을 통해 확인할 수 있습니다.
Q.ABC-H 프로젝트가 치매 환자에게 어떤 도움을 줄 수 있나요?
A.ABC-H 프로젝트는 치매의 조기 진단, 진행 예측, 맞춤형 치료법 개발을 통해 치매 환자들의 삶의 질을 향상시키는 데 기여할 것입니다. 조기 진단을 통해 적절한 치료를 시작하고, 진행 예측을 통해 미래를 계획하며, 맞춤형 치료를 통해 효과적인 치료를 받을 수 있도록 돕습니다.

'건강' 카테고리의 다른 글
| 생명 유지의 리듬: 심장 박동수에 담긴 건강의 비밀 (0) | 2025.12.24 |
|---|---|
| 건강보험, 당신의 선택은? 급여 vs 비급여, 현명한 의료비 관리를 위한 완벽 가이드 (0) | 2025.12.24 |
| 건강, 단순히 '안 아픈 상태'가 아니라고요? 3가지 균형을 맞춰야 진짜 건강! (0) | 2025.12.23 |
| 건강검진, 건강한 삶의 첫걸음: 완벽 가이드 (0) | 2025.12.23 |
| 지긋지긋한 숙취, 이제 안녕! 숙취 해소를 돕는 완벽 식단 가이드 (0) | 2025.12.23 |