뇌졸중, 인류의 오랜 숙제
뇌졸중은 전 세계적으로 심각한 건강 문제 중 하나로, 매년 수많은 생명을 앗아가거나 심각한 후유증을 남깁니다. 뇌졸중은 뇌의 혈관이 막히거나 터지면서 뇌 조직이 손상되는 질환으로, 신속하고 정확한 진단과 치료가 생존과 예후에 결정적인 영향을 미칩니다. 뇌졸중의 위험 요인으로는 고혈압, 당뇨병, 고지혈증, 흡연, 음주 등이 있으며, 예방을 위해서는 건강한 생활 습관을 유지하는 것이 중요합니다. 뇌졸중은 예방, 진단, 치료, 재활의 모든 단계에서 끊임없는 연구와 기술 혁신이 요구되는 질병입니다. 뇌졸중은 단순히 개인의 문제가 아니라 사회 전체의 의료 시스템과 복지에 큰 부담을 주는 질병이기도 합니다.

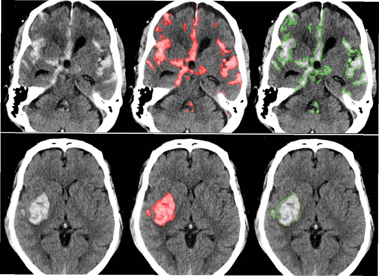
AI, 뇌졸중 진단의 새로운 가능성을 열다
AI 기술은 뇌졸중 진단 분야에서 괄목할 만한 발전을 이루고 있습니다. 특히 영상 분석 기술을 통해 CT, MRI 등의 뇌 영상 데이터를 빠르고 정확하게 분석하여 뇌출혈, 뇌경색의 위치와 범위를 파악할 수 있습니다. AI는 뇌졸중의 골든 타임을 확보하는 데 기여하며, 의료진의 진단 정확도를 향상시키고, 환자 맞춤형 치료 계획을 수립하는 데 도움을 줍니다. AI 기반의 진단 시스템은 응급 상황에서 의료진의 의사 결정을 돕고, 환자의 생존율을 높이는 데 기여할 수 있습니다. AI는 뇌졸중 환자의 초기 진단뿐만 아니라, 재발 위험을 예측하고 예방하는 데에도 활용될 수 있습니다. AI 기술의 발전은 뇌졸중 진단 분야의 혁신을 넘어, 의료 서비스의 질을 전반적으로 향상시키는 데 기여할 것입니다. AI는 방대한 양의 의료 데이터를 학습하고 분석하여, 인간의 한계를 뛰어넘는 정확도와 효율성을 보여줍니다. AI 기술은 뇌졸중 환자의 생존율을 높이고, 삶의 질을 개선하는 데 중요한 역할을 할 것입니다.

AI 기반 뇌졸중 치료 솔루션: 맞춤형 치료의 시대
AI는 뇌졸중 치료 분야에서도 혁신적인 솔루션을 제시하고 있습니다. AI는 환자의 뇌 영상, 임상 데이터, 유전자 정보 등을 종합적으로 분석하여 환자 개개인에게 최적화된 치료법을 제시합니다. AI 기반의 치료 솔루션은 약물 처방, 수술 계획, 재활 치료 등 뇌졸중 치료의 전반적인 과정에 적용될 수 있습니다. AI는 치료 효과를 예측하고 부작용을 최소화하는 데 기여하며, 의료진의 치료 역량을 강화합니다. AI는 뇌졸중 환자의 회복 속도를 높이고, 후유증을 줄이는 데 도움을 줄 수 있습니다. AI는 재활 치료 과정에서 환자의 움직임을 분석하고, 맞춤형 운동 프로그램을 제공하여 회복을 돕습니다. AI 기술은 뇌졸중 치료의 효율성을 높이고, 의료 자원의 효율적인 활용을 가능하게 합니다. AI는 뇌졸중 환자에게 더욱 정확하고, 효과적이며, 맞춤형 치료를 제공하는 시대를 열어가고 있습니다.

AI, 뇌졸중 재활 치료의 새로운 지평
AI는 뇌졸중 환자의 재활 치료 분야에서도 획기적인 변화를 가져오고 있습니다. AI 기반의 재활 시스템은 환자의 운동 데이터를 실시간으로 분석하고, 맞춤형 재활 프로그램을 제공합니다. AI는 환자의 회복 속도를 모니터링하고, 치료 효과를 평가하여 재활 치료의 효율성을 높입니다. AI는 가상 현실 기술을 활용하여 뇌졸중 환자에게 몰입감 있는 재활 환경을 제공하고, 치료에 대한 동기를 부여합니다. AI는 로봇 기술과 결합하여 환자의 운동 능력을 향상시키고, 재활 치료의 효과를 극대화합니다. AI는 원격 재활 치료를 가능하게 하여, 환자의 접근성을 높이고, 의료 자원의 효율적인 활용을 돕습니다. AI 기술은 뇌졸중 환자의 삶의 질을 개선하고, 사회 복귀를 지원하는 데 중요한 역할을 합니다. AI는 뇌졸중 재활 치료 분야에서 끊임없이 발전하며, 더 많은 환자들에게 희망을 선사할 것입니다.

미래를 위한 AI 뇌졸중 솔루션의 전망
AI 기술은 뇌졸중 분야에서 무궁무진한 가능성을 열어가고 있습니다. 앞으로 AI는 더욱 정교한 뇌 영상 분석 기술을 개발하고, 뇌졸중의 조기 진단 및 예방에 기여할 것입니다. AI는 뇌졸중 치료제의 개발을 가속화하고, 맞춤형 치료법을 더욱 발전시킬 것입니다. AI는 로봇 수술, 뇌-컴퓨터 인터페이스 등 혁신적인 치료 기술을 개발하여 뇌졸중 환자의 삶의 질을 획기적으로 개선할 것입니다. AI는 뇌졸중 관련 빅데이터를 분석하여 질병의 원인을 규명하고, 새로운 치료 전략을 제시할 것입니다. AI 기술의 발전은 뇌졸중 치료 분야의 혁신을 넘어, 의료 시스템 전반의 효율성을 높이고, 더 많은 사람들에게 건강한 삶을 제공하는 데 기여할 것입니다. AI는 뇌졸중 치료의 미래를 밝히는 희망의 빛입니다.

AI, 뇌졸중 치료의 미래를 엿보다
AI는 뇌졸중의 진단, 치료, 재활의 모든 단계에서 혁신적인 변화를 이끌어내고 있습니다. AI 기술은 뇌졸중 환자의 생존율을 높이고, 삶의 질을 개선하는 데 크게 기여하며, 미래 뇌졸중 치료의 핵심 동력으로 자리 잡을 것입니다.

자주 묻는 질문과 답변
Q.AI가 뇌졸중 치료에 어떻게 활용되나요?
A.AI는 뇌 영상 분석을 통해 뇌졸중을 신속하게 진단하고, 환자 맞춤형 치료 계획을 수립하는 데 활용됩니다. 또한, AI는 재활 치료 과정에서 환자의 움직임을 분석하고, 맞춤형 운동 프로그램을 제공하여 회복을 돕습니다.
Q.AI 뇌졸중 솔루션의 장점은 무엇인가요?
A.AI 뇌졸중 솔루션은 진단 정확도 향상, 치료 효과 예측, 맞춤형 치료 제공, 재활 치료 효율성 증대 등 다양한 장점을 가지고 있습니다. 이는 환자의 생존율을 높이고, 삶의 질을 개선하는 데 기여합니다.
Q.AI 기술이 뇌졸중 치료의 미래에 어떤 영향을 미칠까요?
A.AI는 뇌졸중의 조기 진단, 맞춤형 치료, 혁신적인 재활 기술 개발을 통해 뇌졸중 치료의 미래를 혁신적으로 변화시킬 것입니다. AI는 뇌졸중 환자에게 더욱 희망찬 미래를 선사할 것입니다.

'건강' 카테고리의 다른 글
| 치즈, 지방 함량에 따라 달라지는 맛과 건강: 고지방 vs 저지방, 당신의 선택은? (0) | 2025.12.21 |
|---|---|
| 에너지 음료, 이제 안녕! 건강하게 활력 되찾는 꿀팁 대방출 (0) | 2025.12.21 |
| 전통 의학, 잊혀진 지혜의 부활: 건강 혁신의 새로운 지평을 열다 (0) | 2025.12.21 |
| 후회 없는 삶을 위한 완벽 가이드: 지금 당장 실천할 5가지 방법 (0) | 2025.12.21 |
| ❄️ 추위, 이제 즐거움으로! 건강하게 겨울을 만끽하는 꿀팁 대방출 (0) | 2025.12.21 |