당신의 피부를 망치는 주범들: 무심코 하는 행동들
피부 관리는 단순히 예뻐지기 위한 목적을 넘어, 건강한 피부를 유지하는 데 필수적인 요소입니다. 하지만 우리는 종종 피부 건강을 해치는 습관들을 무의식적으로 반복하곤 합니다. 피부과 전문의들은 이러한 잘못된 습관들이 피부 트러블을 유발하고, 노화를 촉진하며, 심지어는 피부 질환을 악화시키는 주된 원인이라고 경고합니다. 이 글에서는 피부과 전문의들이 입을 모아 '하지 마세요!'라고 외치는 피부 관리 습관 5가지를 자세히 살펴보고, 건강한 피부를 위한 올바른 관리법을 제시합니다. 지금부터 당신의 피부를 망치는 습관들을 파악하고, 건강하고 아름다운 피부를 되찾아 보세요.

1. 과도한 세안과 잦은 각질 제거
깨끗한 피부를 위해 세안은 필수적이지만, 과도한 세안은 오히려 피부를 망칠 수 있습니다. 잦은 세안은 피부의 천연 보습막을 파괴하여 피부를 건조하게 만들고, 외부 자극에 더욱 취약하게 만듭니다. 또한, 과도한 각질 제거는 피부 장벽을 손상시켜 염증과 트러블을 유발할 수 있습니다.
피부과 전문의의 조언:
* 세안은 하루 2번, 아침과 저녁에 미지근한 물로 하는 것이 좋습니다.
* 자극적인 스크럽제나 필링 제품의 사용은 주 1~2회로 제한하고, 피부 타입에 맞는 제품을 선택해야 합니다.
* 세안 후에는 반드시 보습제를 사용하여 피부의 수분 손실을 막아야 합니다.

2. 꼼꼼하지 못한 자외선 차단
자외선은 피부 노화의 주범이자, 색소 침착, 피부암 등을 유발하는 가장 강력한 외부 자극입니다. 자외선 차단제를 꼼꼼하게 바르지 않거나, 적절한 양을 사용하지 않는 것은 피부 건강을 심각하게 위협하는 행동입니다. 흐린 날씨에도 자외선은 존재하며, 실내에서도 창문을 통해 자외선에 노출될 수 있다는 사실을 잊지 말아야 합니다.
피부과 전문의의 조언:
* 자외선 차단제는 외출 15~20분 전에 꼼꼼하게 발라야 합니다.
* SPF 30 이상, PA+++ 이상의 제품을 선택하는 것이 좋습니다.
* 2~3시간마다 덧발라 자외선 차단 효과를 유지해야 합니다.

3. 손으로 얼굴을 만지는 습관
손은 우리 몸에서 가장 많은 세균이 번식하는 부위 중 하나입니다. 손으로 얼굴을 만지는 습관은 이러한 세균들을 피부에 옮겨 여드름, 뾰루지 등의 트러블을 유발할 수 있습니다. 또한, 손으로 얼굴을 비비거나 긁는 행위는 피부에 자극을 주어 주름을 악화시키고, 색소 침착을 유발할 수 있습니다.
피부과 전문의의 조언:
* 의식적으로 손으로 얼굴을 만지는 습관을 자제해야 합니다.
* 얼굴을 만져야 할 경우, 깨끗하게 손을 씻은 후 만지도록 합니다.
* 가급적 얼굴을 만지는 횟수를 줄이는 것이 좋습니다.

4. 수분 섭취 부족
피부는 수분을 잃으면 탄력을 잃고 건조해지기 쉽습니다. 충분한 수분 섭취는 피부의 보습력을 유지하고, 노폐물 배출을 촉진하여 건강한 피부를 유지하는 데 필수적입니다. 물을 적게 마시는 습관은 피부를 푸석하게 만들고, 잔주름을 증가시키는 원인이 될 수 있습니다.
피부과 전문의의 조언:
* 하루 1.5~2L의 물을 마시는 것이 좋습니다.
* 물을 자주 마시는 습관을 들이고, 갈증을 느끼기 전에 물을 마시도록 합니다.
* 커피, 탄산음료 등 이뇨 작용을 촉진하는 음료는 과도하게 섭취하지 않도록 주의합니다.

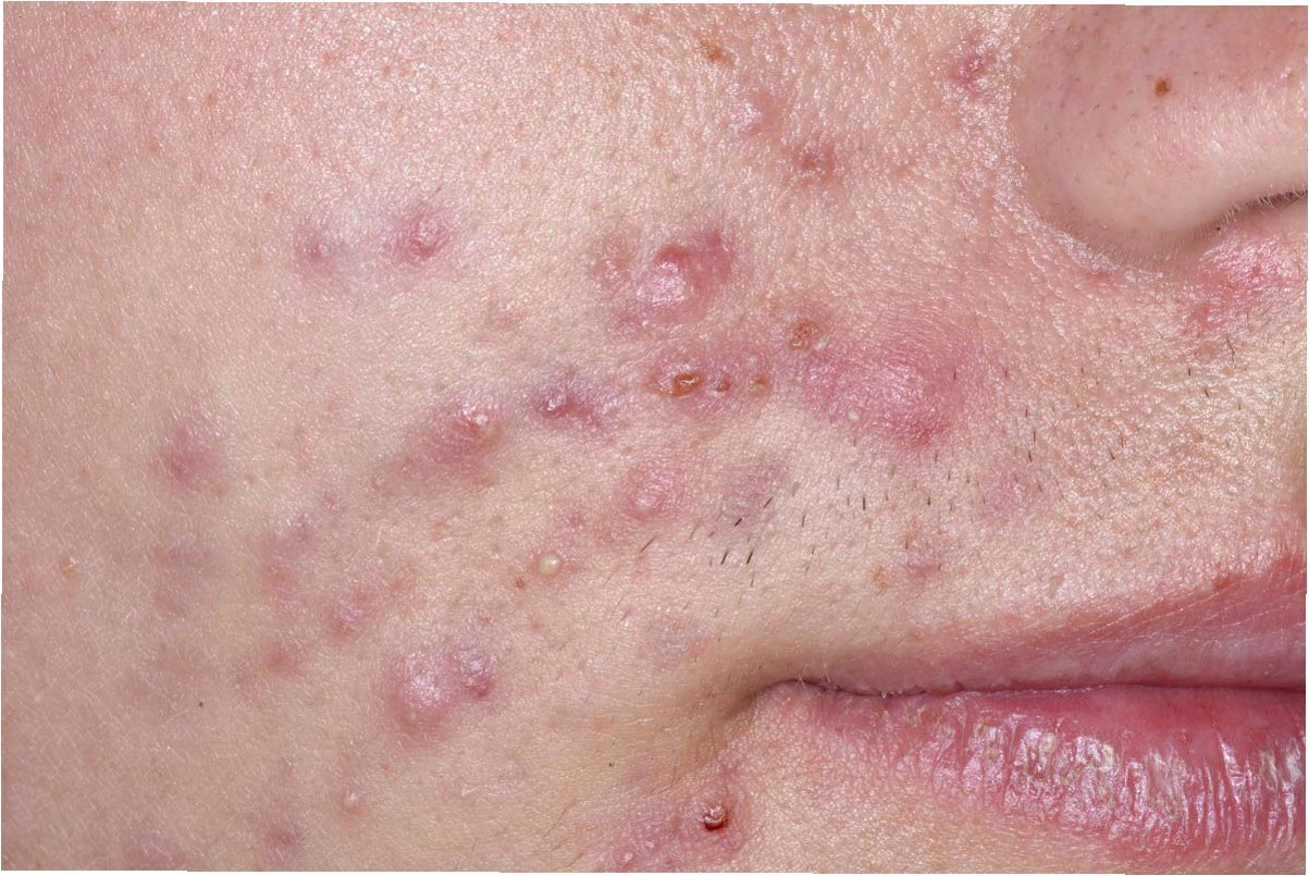
5. 잘못된 화장품 사용
자신의 피부 타입에 맞지 않는 화장품을 사용하거나, 유통기한이 지난 화장품을 사용하는 것은 피부 트러블을 유발하는 주요 원인입니다. 특히, 알레르기 반응을 일으키는 성분이 함유된 화장품을 사용하거나, 과도한 기능성 화장품을 사용하는 것은 피부에 자극을 줄 수 있습니다.
피부과 전문의의 조언:
* 자신의 피부 타입을 정확히 파악하고, 피부 타입에 맞는 화장품을 선택해야 합니다.
* 새로운 화장품을 사용하기 전에는 팔 안쪽에 테스트하여 알레르기 반응 여부를 확인합니다.
* 유통기한을 꼼꼼하게 확인하고, 유통기한이 지난 화장품은 사용하지 않도록 합니다.

건강한 피부, 올바른 습관에서 시작됩니다
지금까지 피부과 전문의들이 '절대 하지 마세요!'라고 외치는 5가지 피부 관리 습관을 살펴보았습니다. 과도한 세안과 각질 제거, 꼼꼼하지 못한 자외선 차단, 손으로 얼굴을 만지는 습관, 수분 섭취 부족, 그리고 잘못된 화장품 사용은 모두 피부 건강을 해치는 주범입니다. 건강하고 아름다운 피부를 위해서는 이러한 습관들을 개선하고, 올바른 피부 관리법을 실천하는 것이 중요합니다. 오늘부터 피부과 전문의의 조언을 따라 건강한 피부를 만들어 보세요.

피부 건강에 대한 궁금증, 속 시원하게 풀어드립니다!
Q.피부 타입별로 세안법이 다른가요?
A.네, 피부 타입에 따라 세안법이 다릅니다. 지성 피부는 꼼꼼한 세안이 필요하지만, 건성 피부는 너무 자주 세안하면 건조해질 수 있습니다. 민감성 피부는 저자극 세안제를 사용하는 것이 좋습니다.
Q.자외선 차단제는 사계절 내내 발라야 하나요?
A.네, 자외선은 계절에 관계없이 항상 존재하므로 사계절 내내 자외선 차단제를 발라야 합니다.
Q.수분 섭취 외에 피부에 도움이 되는 다른 방법이 있나요?
A.충분한 수분 섭취 외에도, 규칙적인 운동, 충분한 수면, 균형 잡힌 식단 등 건강한 생활 습관을 유지하는 것이 피부 건강에 도움이 됩니다.

'건강' 카테고리의 다른 글
| 사랑스러운 댕댕이, 냥이와의 행복한 동행: 알레르기 걱정 없는 꿀팁 대방출! (0) | 2026.01.16 |
|---|---|
| 아이들의 건강한 숨결을 지키는 방법: 미세먼지로부터 우리 아이 보호하기 (1) | 2026.01.16 |
| 피부과 전문의가 '절대 하지 마세요!' 외치는 피부 관리 습관 5가지 (1) | 2026.01.16 |
| 콜레스테롤, 스타틴, 그리고 건강한 삶: 고지혈증 관리의 모든 것 (0) | 2026.01.16 |
| 눈 건강 지키는 스마트폰 사용법: 지금 바로 실천할 꿀팁 대방출! (0) | 2026.01.16 |