눈 건강의 두 적: 근시와 황반변성, 무엇이 다를까?
우리는 매일 세상을 눈으로 보고, 느끼고, 기억합니다. 하지만 눈은 생각보다 섬세하고, 다양한 질병에 노출될 수 있습니다. 특히 현대 사회에서 흔히 겪는 시력 저하의 대표적인 원인, 일반 근시와 황반변성은 그 증상과 원인, 그리고 치료법에서 뚜렷한 차이를 보입니다. 마치 두 개의 다른 그림자가 우리 시야를 어둡게 만들 수 있는 것처럼 말이죠. 근시는 비교적 흔하고, 교정이 가능한 경우가 많지만, 황반변성은 심각한 시력 손실로 이어질 수 있어 더욱 주의가 필요합니다. 이 글에서는 일반 근시와 황반변성의 차이점을 자세히 살펴보고, 눈 건강을 지키기 위한 현명한 선택을 돕고자 합니다. 건강한 눈은 우리의 삶의 질을 결정짓는 중요한 요소입니다. 눈 건강에 대한 올바른 정보는 건강한 삶을 위한 첫걸음입니다.

근시, 흐릿한 세상과의 만남
근시는 먼 곳의 사물이 흐릿하게 보이는 굴절 이상입니다. 가까운 곳은 잘 보이지만, 멀리 있는 물체는 초점이 맞지 않아 뚜렷하게 보이지 않는 것이 특징입니다. 마치 카메라 렌즈가 제대로 초점을 맞추지 못하는 것과 같은 원리입니다. 근시는 주로 안구의 길이가 너무 길거나, 각막 또는 수정체의 굴절력이 지나치게 강해서 발생합니다. 유전적인 요인, 과도한 근거리 작업, 환경적인 요인 등이 복합적으로 작용하여 근시를 유발할 수 있습니다. 근시의 가장 흔한 증상은 먼 곳의 사물이 흐릿하게 보이는 것이지만, 눈의 피로, 두통, 집중력 저하 등을 동반할 수도 있습니다. 다행히 근시는 안경, 콘택트렌즈, 라식/라섹 수술 등 다양한 방법으로 비교적 쉽게 교정할 수 있습니다.

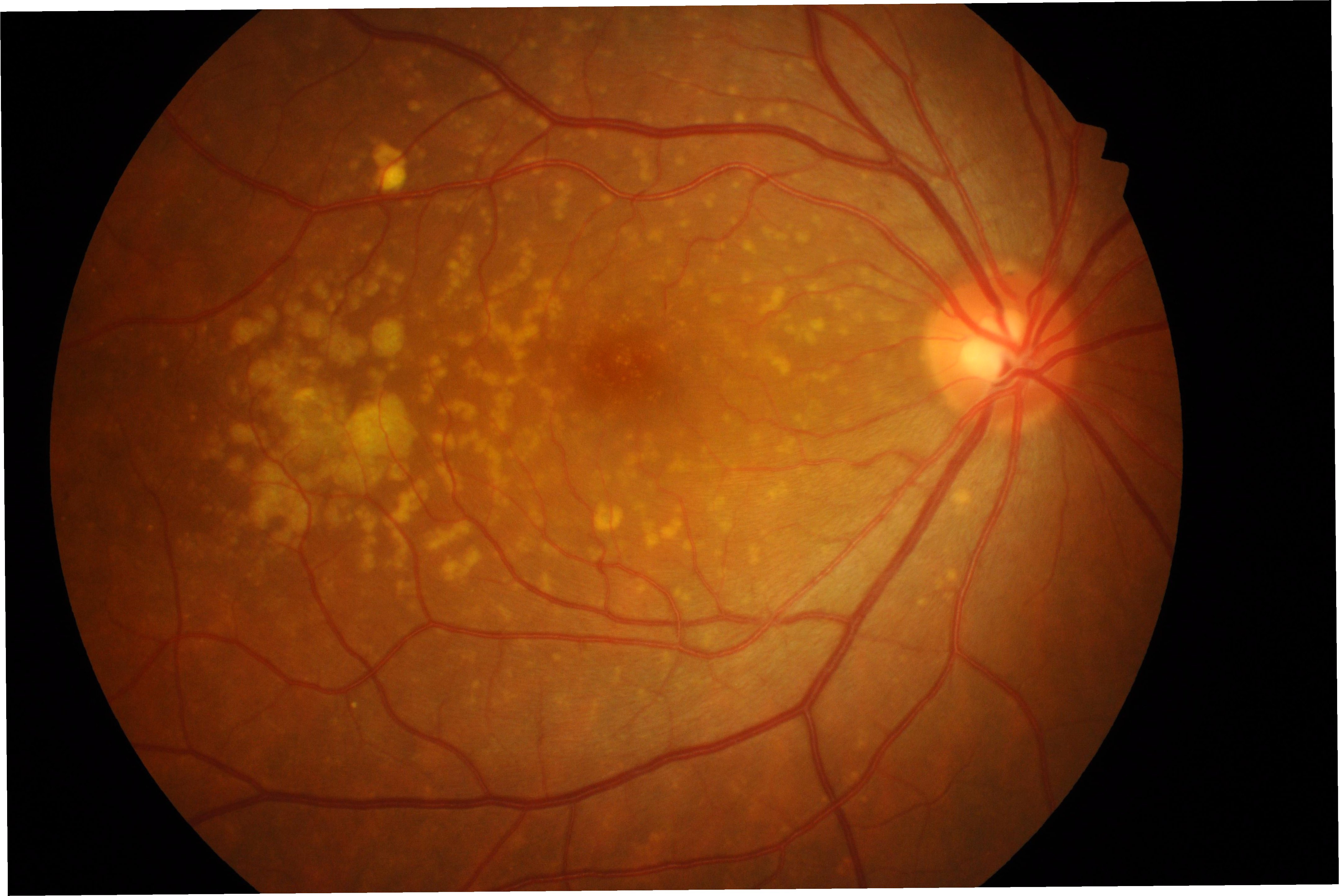
황반변성, 시력의 중심을 위협하다
황반변성은 망막의 중심부에 위치한 황반에 변성이 생겨 시력 저하를 유발하는 질환입니다. 황반은 시세포가 밀집되어 있어 시력의 90%를 담당하는 중요한 부위입니다. 따라서 황반에 문제가 생기면 시력 저하뿐만 아니라 사물의 왜곡, 중심 시야의 암점 등 심각한 시력 장애를 겪을 수 있습니다. 황반변성은 크게 건성과 습성으로 나뉩니다. 건성 황반변성은 황반에 노폐물이 쌓여 시세포가 손상되는 경우이며, 습성 황반변성은 비정상적인 혈관이 성장하여 출혈이나 부종을 일으키는 경우입니다. 황반변성의 가장 흔한 증상은 시야 중심이 흐릿해지거나, 직선이 굽어 보이는 것입니다. 진행 속도가 빠르고, 심한 경우 실명으로 이어질 수 있으므로 조기 진단과 치료가 매우 중요합니다.

근시와 황반변성, 증상 비교
근시와 황반변성은 모두 시력 저하를 유발하지만, 그 증상과 양상은 뚜렷하게 다릅니다. 근시는 주로 먼 곳의 시야가 흐릿해지는 반면, 황반변성은 시야의 중심 부분이 흐릿하거나 왜곡되어 보입니다. 근시는 비교적 젊은 연령층에서 흔하게 나타나며, 시력 검사를 통해 쉽게 진단할 수 있습니다. 반면, 황반변성은 주로 노년층에서 발생하며, 정밀 검사를 통해 진단해야 합니다. 황반변성은 시력 저하 외에도 사물의 크기가 다르게 보이거나, 색깔 구분이 어려워지는 등의 증상을 동반할 수 있습니다. 자가 검사 도구를 통해 시야의 왜곡 여부를 확인할 수 있지만, 정확한 진단은 반드시 안과 전문의의 진료를 받아야 합니다.

근시와 황반변성, 원인과 위험 요인
근시는 유전적 요인, 과도한 근거리 작업, 환경적 요인 등 다양한 원인에 의해 발생합니다. 특히 스마트폰, 컴퓨터 등 전자기기 사용 시간이 늘어나면서 근시 발병 연령이 낮아지고 있습니다. 황반변성은 노화가 가장 큰 위험 요인이며, 가족력, 흡연, 고혈압, 비만 등도 발병 위험을 높이는 요인으로 알려져 있습니다. 또한, 자외선 노출, 불포화 지방산 섭취 부족 등도 황반변성 발병에 영향을 줄 수 있습니다. 근시는 생활 습관 개선을 통해 예방하고 진행 속도를 늦출 수 있지만, 황반변성은 조기 발견과 꾸준한 관리가 중요합니다. 눈 건강을 위해서는 정기적인 검진과 생활 습관 개선 노력이 필수적입니다.

예방과 관리: 눈 건강을 지키는 방법
눈 건강을 지키기 위해서는 생활 습관 개선과 정기적인 검진이 중요합니다. 근시 예방을 위해서는 장시간 근거리 작업을 피하고, 틈틈이 먼 곳을 바라보며 눈의 피로를 풀어주는 것이 좋습니다. 자외선 차단을 위해 선글라스를 착용하고, 눈에 좋은 영양소를 섭취하는 것도 도움이 됩니다. 황반변성 예방을 위해서는 금연하고, 건강한 식습관을 유지하는 것이 중요합니다. 정기적인 안과 검진을 통해 눈 건강 상태를 확인하고, 이상 징후가 발견되면 즉시 치료를 받는 것이 중요합니다. 눈 건강은 한 번 나빠지면 회복하기 어렵기 때문에, 예방과 관리에 힘쓰는 것이 현명합니다. 눈은 우리의 삶을 풍요롭게 하는 소중한 존재입니다. 눈 건강을 위해 꾸준히 노력하고, 소중히 아껴주세요.

눈 건강, 두 마리 토끼를 잡는 방법
근시와 황반변성은 모두 시력을 위협하는 질환이지만, 그 원인과 증상은 뚜렷하게 다릅니다. 근시는 교정이 가능하지만, 황반변성은 조기 진단과 꾸준한 관리가 중요합니다. 건강한 눈을 위해서는 생활 습관 개선과 정기적인 검진을 통해 예방하고, 이상 징후가 발견되면 즉시 치료를 받아야 합니다. 눈 건강은 우리의 삶의 질을 결정짓는 중요한 요소입니다. 지금부터 눈 건강을 위해 노력하고, 건강한 세상을 만끽하세요!

자주 묻는 질문과 답변
Q.근시와 황반변성을 동시에 겪을 수도 있나요?
A.네, 가능합니다. 근시는 굴절 이상으로, 황반변성은 망막 질환으로, 서로 다른 질환이기 때문에 동시에 발생할 수 있습니다. 이 경우, 두 질환 모두에 대한 적절한 치료와 관리가 필요합니다.
Q.황반변성은 완치가 가능한가요?
A.황반변성은 완치가 어렵지만, 조기 진단과 적절한 치료를 통해 진행 속도를 늦추고 시력 손실을 최소화할 수 있습니다. 꾸준한 관리와 정기적인 검진이 중요합니다.
Q.눈 건강에 좋은 음식은 무엇인가요?
A.눈 건강에 좋은 음식으로는 비타민 A, C, E, 루테인, 지아잔틴 등이 풍부한 음식이 있습니다. 녹황색 채소, 과일, 견과류, 등푸른 생선 등을 섭취하는 것이 좋습니다.

'건강' 카테고리의 다른 글
| 오래오래 건강하게! 장수 식품의 비밀, 지금 바로 알아보세요 (1) | 2025.11.21 |
|---|---|
| 지역의사제, 당신의 건강을 책임지는 따뜻한 손길: 정의와 역할 탐구 (1) | 2025.11.21 |
| 뼈 건강 지키는 습관: 골다공증 예방을 위한 완벽 가이드 (0) | 2025.11.21 |
| 건강한 식습관, 당신의 삶을 바꾸는 마법: 지금 바로 시작하세요! (0) | 2025.11.21 |
| 독감 유행, 왜 이렇게 잦아졌을까? 숨겨진 원인과 예방법 완벽 분석 (0) | 2025.11.21 |