폐동맥 고혈압, 침묵의 살인자
폐동맥 고혈압(PAH)은 폐동맥 혈압이 상승하여 발생하는 심각한 질환입니다. 폐동맥은 심장에서 폐로 혈액을 운반하는 혈관이며, 이 혈관의 압력이 높아지면 심장에 과부하가 걸려 결국 심부전으로 이어질 수 있습니다. PAH는 초기 증상이 모호하여 '침묵의 살인자'라고 불리며, 조기 진단과 적절한 치료가 매우 중요합니다. 이 질환은 다양한 원인에 의해 발생하며, 환자의 삶의 질을 현저히 저하시키는 무서운 질병입니다. 폐동맥 고혈압은 조기 진단과 적절한 치료가 매우 중요합니다. 치료를 받지 않으면 수명이 단축될 수 있으며, 심각한 경우 사망에 이를 수 있습니다. 따라서 의심 증상이 나타나면 즉시 의료기관을 방문하여 정확한 진단을 받는 것이 중요합니다.

폐동맥 고혈압의 정의
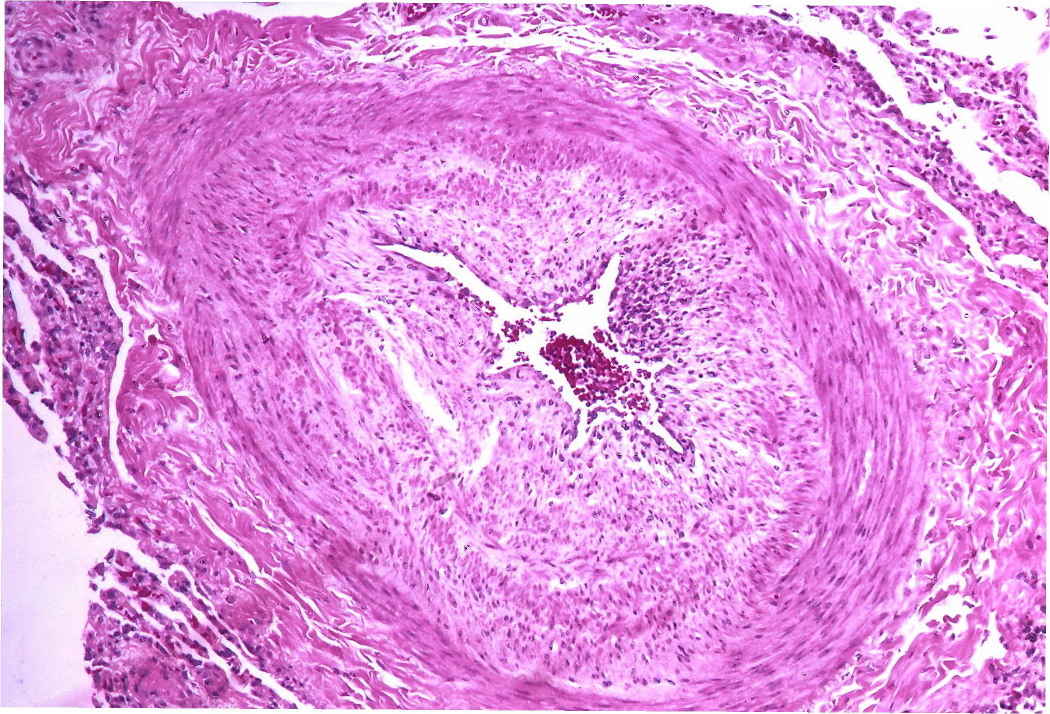
폐동맥 고혈압은 폐동맥의 평균 압력이 휴식 시 25mmHg 이상, 운동 시 30mmHg 이상으로 상승하는 상태를 의미합니다. 이는 폐동맥 혈관이 좁아지거나 막혀 혈액 흐름에 저항이 증가하면서 발생합니다. 폐동맥 고혈압은 다양한 원인에 의해 발생할 수 있으며, 특정한 원인 없이 발생하는 경우도 있습니다. 이러한 경우를 특발성 폐동맥 고혈압이라고 합니다. 폐동맥 고혈압은 폐의 혈관에 영향을 미쳐 심장으로 가는 혈액의 흐름을 방해합니다. 이로 인해 심장은 혈액을 폐로 밀어내기 위해 더 열심히 일해야 하며, 결국 심장에 부담이 가중되어 심부전으로 진행될 수 있습니다.

폐동맥 고혈압의 원인
폐동맥 고혈압의 원인은 매우 다양합니다. 특발성, 즉 원인을 알 수 없는 경우도 있지만, 다음과 같은 요인들이 관련될 수 있습니다. 첫째, 유전적 요인입니다. PAH는 가족력을 보이는 경우가 있으며, 특정 유전자 변이가 질병 발생 위험을 높일 수 있습니다. 둘째, 심장 질환입니다. 선천성 심장 질환, 좌심부전 등 심장 관련 질환이 폐동맥 고혈압을 유발할 수 있습니다. 셋째, 폐 질환입니다. 만성 폐쇄성 폐질환(COPD), 간질성 폐질환 등 폐 질환이 폐동맥 혈관에 영향을 미쳐 PAH를 일으킬 수 있습니다. 넷째, 자가면역 질환입니다. 류마티스 관절염, 루푸스 등 자가면역 질환이 폐동맥 고혈압의 원인이 될 수 있습니다. 다섯째, 약물 및 독성 물질입니다. 특정 약물이나 독성 물질 노출이 PAH 발생 위험을 증가시킬 수 있습니다. 마지막으로, 기타 요인으로, HIV 감염, 문맥 고혈압 등이 PAH와 관련될 수 있습니다.

폐동맥 고혈압의 증상
폐동맥 고혈압의 증상은 초기에는 모호하고 비특이적이기 때문에 진단이 늦어지는 경우가 많습니다. 주요 증상으로는 다음과 같은 것들이 있습니다. 첫째, 호흡 곤란입니다. 특히 운동 시 호흡 곤란이 심해지는 경향이 있습니다. 둘째, 흉통입니다. 가슴 통증이 느껴질 수 있으며, 이는 심장에 혈액 공급이 원활하지 않아 발생하는 협심증과 유사합니다. 셋째, 피로감입니다. 쉽게 지치고 무기력감을 느낄 수 있습니다. 넷째, 어지럼증 및 실신입니다. 혈압 저하로 인해 어지럼증이나 실신이 발생할 수 있습니다. 다섯째, 부종입니다. 다리, 발목, 복부 등에 부종이 나타날 수 있습니다. 여섯째, 기침입니다. 마른 기침이 지속될 수 있습니다. 이러한 증상들은 다른 질환과 유사하여 오인하기 쉽기 때문에, 의심되는 증상이 있다면 반드시 전문의와 상담하여 정확한 진단을 받는 것이 중요합니다.

폐동맥 고혈압 진단
폐동맥 고혈압은 다양한 검사를 통해 진단합니다. 먼저, 병력 청취 및 신체 검사를 통해 환자의 증상과 전반적인 건강 상태를 파악합니다. 이어서 다음과 같은 검사들을 시행합니다. 첫째, 심전도 검사입니다. 심장의 전기적 활동을 측정하여 심장의 이상 여부를 확인합니다. 둘째, 흉부 X-ray 검사입니다. 폐와 심장의 상태를 확인하고, 폐동맥 확장을 관찰합니다. 셋째, 심장 초음파 검사입니다. 심장의 구조와 기능을 평가하고, 폐동맥 압력을 추정합니다. 넷째, 폐 기능 검사입니다. 폐활량, 폐 확산 능력 등을 측정하여 폐의 기능 상태를 평가합니다. 다섯째, 혈액 검사입니다. 혈액 가스 분석, 심장 효소 검사 등을 통해 폐와 심장의 상태를 확인합니다. 여섯째, 우심 도자술입니다. 폐동맥 압력을 직접 측정하고, 폐동맥 고혈압의 심각도를 평가하는 가장 정확한 검사 방법입니다. 이러한 검사들을 종합하여 폐동맥 고혈압을 진단하고, 질병의 심각도를 평가합니다.

폐동맥 고혈압 치료
폐동맥 고혈압의 치료는 질병의 원인, 심각도, 환자의 전반적인 건강 상태 등을 고려하여 결정됩니다. 치료 목표는 폐동맥 압력을 낮추고, 증상을 완화하며, 삶의 질을 개선하고, 생존율을 높이는 것입니다. 주요 치료 방법으로는 다음과 같은 것들이 있습니다. 첫째, 약물 치료입니다. 폐동맥 혈관을 확장시키고, 혈전 생성을 억제하는 약물을 사용합니다. 대표적인 약물로는 프로스타사이클린 유사체, 엔도텔린 수용체 길항제, PDE5 억제제 등이 있습니다. 둘째, 산소 치료입니다. 저산소증을 개선하고, 폐동맥 압력을 낮추기 위해 산소를 공급합니다. 셋째, 생활 습관 개선입니다. 금연, 적절한 운동, 염분 섭취 제한 등이 중요합니다. 넷째, 수술적 치료입니다. 심방 중격 절개술, 폐 이식 등이 필요한 경우도 있습니다. 폐동맥 고혈압은 만성 질환이므로, 꾸준한 치료와 관리가 필요합니다. 치료 과정에서 의료진과 긴밀하게 협력하고, 정기적인 검진을 통해 질병의 진행 상태를 모니터링하는 것이 중요합니다.

폐동맥 고혈압, 조기 진단과 치료가 생명을 구합니다
폐동맥 고혈압은 초기 증상이 모호하여 진단이 늦어지는 경우가 많지만, 조기에 발견하여 적절한 치료를 받으면 생존율을 높이고 삶의 질을 개선할 수 있습니다. 폐동맥 고혈압의 원인, 증상, 진단, 치료법을 정확히 이해하고, 의심되는 증상이 나타나면 즉시 전문의와 상담하여 정확한 진단을 받는 것이 중요합니다. 건강한 생활 습관을 유지하고, 정기적인 건강 검진을 통해 폐동맥 고혈압을 예방하고 관리하는 노력이 필요합니다. 당신의 심장이 보내는 위험 신호에 귀 기울이고, 건강한 삶을 유지하시길 바랍니다.

자주 묻는 질문과 답변
Q.폐동맥 고혈압은 완치가 가능한가요?
A.폐동맥 고혈압은 완치가 어려운 질환이지만, 꾸준한 치료와 관리를 통해 증상을 완화하고, 질병의 진행을 늦추며, 삶의 질을 개선할 수 있습니다.
Q.폐동맥 고혈압 환자는 어떤 운동을 해야 하나요?
A.폐동맥 고혈압 환자는 전문의와 상담 후, 자신에게 맞는 운동 계획을 세워야 합니다. 일반적으로 가벼운 유산소 운동(걷기, 수영 등)이 권장되며, 무리한 운동은 피해야 합니다.
Q.폐동맥 고혈압 환자가 피해야 할 음식은 무엇인가요?
A.폐동맥 고혈압 환자는 염분 섭취를 제한해야 합니다. 또한, 과도한 카페인 섭취, 알코올 섭취 등은 피하는 것이 좋습니다. 균형 잡힌 식단을 유지하고, 의료진의 지시에 따라 식단을 관리하는 것이 중요합니다.

'건강' 카테고리의 다른 글
| 세포외기질(ECM) 완전 정복: 세포 생존과 건강의 비밀, 당신의 몸속 이야기 (0) | 2025.11.19 |
|---|---|
| O자형 다리, 당신의 숨겨진 이야기: 정상 다리와 비교 분석 (0) | 2025.11.19 |
| 삼성메디슨, 더 나은 내일을 만드는 따뜻한 동행: 사회공헌 활동으로 지역사회에 희망을 (0) | 2025.11.19 |
| 감기, 이젠 헷갈리지 마세요! 종합 감기약 vs 증상별 감기약 완벽 비교 분석 (0) | 2025.11.19 |
| 골프 스윙, 허리 통증 없이 즐기는 비법: 완벽 가이드 (0) | 2025.11.19 |