알츠하이머 치매, 예측은 어떻게 시작될까?
알츠하이머 치매는 기억력 감퇴와 인지 기능 저하를 특징으로 하는 질환입니다. 아직 완치법은 없지만, 조기 진단과 적절한 관리를 통해 증상 진행 속도를 늦추고 삶의 질을 향상시킬 수 있습니다. 이러한 이유로, 알츠하이머 치매를 예측하는 연구는 매우 중요합니다. 연구는 다양한 접근 방식을 통해 진행되며, 개인의 건강 상태, 생활 습관, 유전적 요인 등을 종합적으로 분석하여 치매 발병 위험을 예측합니다. 이 과정은 여러 단계를 거치며, 각 단계는 정확한 예측을 위해 필수적입니다. 연구의 궁극적인 목표는 치매 발병 위험이 높은 사람들을 조기에 발견하고, 예방 및 관리 전략을 수립하는 것입니다. 이를 통해, 우리는 더 건강하고 행복한 삶을 오랫동안 유지할 수 있도록 돕습니다.

연구의 첫걸음: 참여자 모집 및 정보 수집
알츠하이머 치매 예측 연구의 첫 번째 단계는 연구 참여자를 모집하는 것입니다. 연구진은 연구의 목적과 방법을 설명하고, 참여를 원하는 사람들의 동의를 얻습니다. 참여자들은 연구에 필요한 다양한 정보를 제공하게 되는데, 여기에는 다음과 같은 내용이 포함됩니다:
1. 개인의료 정보: 과거 병력, 현재 복용 중인 약물, 가족력 등을 포함합니다.
2. 생활 습관 정보: 식습관, 운동량, 흡연 및 음주 여부 등을 조사합니다.
3. 인지 기능 검사: 기억력, 언어 능력, 시공간 능력 등을 평가하는 다양한 검사를 실시합니다.
4. 신체 검사: 혈압, 혈당, 콜레스테롤 수치 등을 측정합니다.
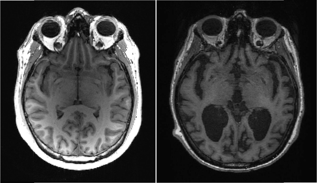
5. 뇌 영상 촬영: MRI, PET 등의 뇌 영상 촬영을 통해 뇌의 구조적 변화나 대사 활동을 확인합니다.
이러한 정보들은 연구의 기반이 되며, 치매 발병 위험을 예측하는 데 중요한 단서를 제공합니다.

정밀 분석의 시작: 바이오마커 분석
수집된 정보들을 바탕으로, 연구진은 알츠하이머 치매와 관련된 다양한 바이오마커를 분석합니다. 바이오마커는 질병의 진행 여부를 나타내는 지표로, 혈액, 뇌척수액, 뇌 영상 등에서 측정할 수 있습니다. 대표적인 바이오마커에는 다음과 같은 것들이 있습니다:
1. 아밀로이드 베타: 뇌에 축적되는 단백질로, 알츠하이머 치매의 주요 원인 중 하나입니다.
2. 타우 단백질: 뇌 신경세포 내에서 엉키는 단백질로, 신경세포 손상과 관련이 있습니다.
3. 뇌 영상 지표: 뇌 위축, 포도당 대사 감소 등 뇌의 구조적, 기능적 변화를 나타냅니다.
이러한 바이오마커의 분석을 통해, 연구진은 치매 발병 위험을 예측하고, 질병의 진행 단계를 파악할 수 있습니다. 바이오마커 분석은 알츠하이머 치매 예측 연구의 핵심적인 부분이며, 정확한 진단을 위한 필수적인 과정입니다.

데이터를 활용한 예측 모델 개발
수집된 데이터와 바이오마커 분석 결과를 바탕으로, 연구진은 알츠하이머 치매 발병 위험을 예측하는 모델을 개발합니다. 이 모델은 통계적 기법, 인공지능 기술 등을 활용하여 만들어지며, 다음과 같은 특징을 가집니다:
1. 위험도 예측: 개인의 특성을 고려하여 치매 발병 위험도를 수치화하여 제시합니다.
2. 예측 정확도 향상: 다양한 변수들을 조합하여 예측의 정확도를 높입니다.
3. 맞춤형 정보 제공: 개인에게 맞는 예방 전략, 관리 방법 등을 제시합니다.
이러한 예측 모델은 알츠하이머 치매의 조기 진단과 예방에 기여하며, 개인의 건강 관리에 도움을 줄 수 있습니다. 끊임없는 연구와 기술 발전을 통해, 예측 모델의 정확도는 더욱 향상될 것입니다.

예측 모델 검증 및 개선
개발된 예측 모델은 실제 환자 데이터를 통해 검증 과정을 거칩니다. 이 과정에서 모델의 정확성, 신뢰성, 유용성을 평가하며, 필요한 경우 모델을 개선합니다. 검증은 다음과 같은 방식으로 이루어집니다:
1. 과거 데이터 활용: 과거 환자들의 데이터를 사용하여 모델의 예측 능력을 평가합니다.
2. 새로운 데이터 적용: 새로운 환자 데이터를 통해 모델의 성능을 지속적으로 평가하고 개선합니다.
3. 다양한 연구 그룹과의 협력: 다른 연구 그룹과의 협력을 통해 모델의 객관성을 확보하고, 더 많은 데이터를 확보합니다.
이러한 검증 과정을 통해, 예측 모델은 더욱 정확하고 신뢰할 수 있게 됩니다. 지속적인 개선을 통해, 예측 모델은 알츠하이머 치매의 조기 진단과 예방에 더욱 효과적으로 기여할 수 있습니다.

미래를 위한 노력: 연구의 중요성
알츠하이머 치매 예측 연구는 단순히 질병을 예측하는 것을 넘어, 개인의 건강한 삶을 지원하는 중요한 역할을 합니다. 연구를 통해 얻은 결과는 다음과 같은 긍정적인 영향을 미칩니다:
1. 조기 진단 및 치료 기회 확대: 치매 발병 위험이 높은 사람들을 조기에 발견하여, 적절한 치료를 받을 수 있도록 돕습니다.
2. 예방 전략 수립: 개인의 특성에 맞는 예방 전략을 제시하여, 치매 발병 위험을 줄입니다.
3. 삶의 질 향상: 치매 발병을 늦추거나 증상을 완화하여, 환자와 가족의 삶의 질을 향상시킵니다.
4. 의료 자원 효율적 활용: 조기 진단을 통해 불필요한 의료비 지출을 줄이고, 의료 자원을 효율적으로 활용할 수 있습니다.
알츠하이머 치매 예측 연구는 지속적으로 발전하고 있으며, 미래에는 더욱 정확하고 효과적인 예측 방법이 개발될 것입니다. 이러한 연구를 통해, 우리는 알츠하이머 치매로부터 자유로운 건강한 삶을 만들어갈 수 있습니다.

알츠하이머 치매 예측 연구, 핵심을 짚어보자!
알츠하이머 치매 예측 연구는 참여자 모집, 정보 수집, 바이오마커 분석, 예측 모델 개발, 검증 및 개선의 단계를 거칩니다. 이 과정을 통해 치매 발병 위험을 예측하고, 조기 진단 및 예방 전략을 수립하여 삶의 질을 향상시키는 것을 목표로 합니다. 지속적인 연구와 기술 발전을 통해, 우리는 더욱 건강한 미래를 만들어갈 수 있습니다.

알츠하이머 치매 예측 연구, 궁금증 해결!
Q.알츠하이머 치매 예측 연구에 참여하려면 어떻게 해야 하나요?
A.알츠하이머 치매 예측 연구는 다양한 연구 기관에서 진행됩니다. 참여를 원하시는 경우, 해당 연구 기관의 웹사이트를 방문하거나, 관련 정보를 얻을 수 있는 단체에 문의하여 참여 자격 및 절차에 대한 정보를 얻을 수 있습니다.
Q.예측 모델의 정확도는 어느 정도인가요?
A.예측 모델의 정확도는 지속적으로 개선되고 있습니다. 현재의 예측 모델은 80% 이상의 정확도를 보이며, 지속적인 연구를 통해 더욱 향상될 것입니다. 정확도는 모델, 사용된 데이터, 개인의 특성에 따라 달라질 수 있습니다.
Q.알츠하이머 치매 예측 연구가 우리 삶에 어떤 도움을 줄 수 있나요?
A.알츠하이머 치매 예측 연구는 조기 진단을 통해 적절한 치료를 받을 수 있는 기회를 제공하고, 예방 전략을 수립하여 치매 발병 위험을 줄이는 데 기여합니다. 또한, 삶의 질을 향상시키고, 의료 자원의 효율적인 활용을 가능하게 합니다.

'건강' 카테고리의 다른 글
| 한국인 유전체의 비밀: 다른 인종과 비교 분석, 유전적 특성 탐구 (0) | 2025.12.05 |
|---|---|
| HA 필러, 당신의 아름다움을 조각하는 섬세한 예술 (0) | 2025.12.05 |
| 건강, 삶의 가장 소중한 가치: 당신의 건강을 위한 안내서 (0) | 2025.12.05 |
| 수면 내시경 중 헛소리, 왜 그럴까? 😴 궁금증 해결! (0) | 2025.12.05 |
| 다이어트, 과일도 전략적으로! 살 빠지는 과일 vs 피해야 할 과일 완벽 분석 (0) | 2025.12.05 |