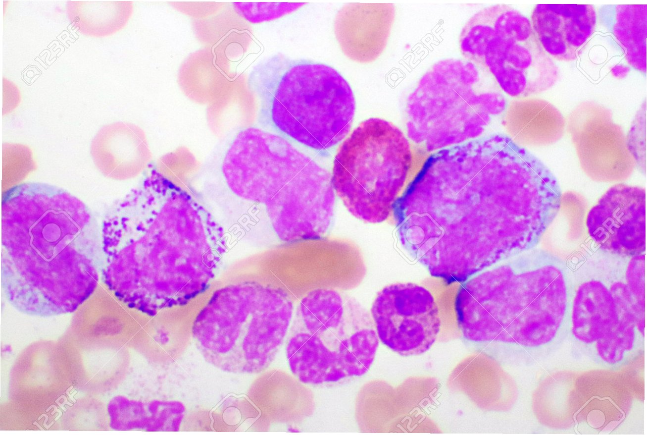
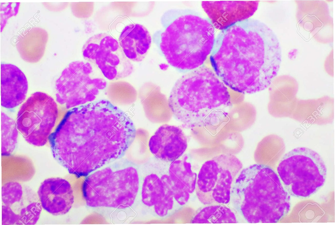
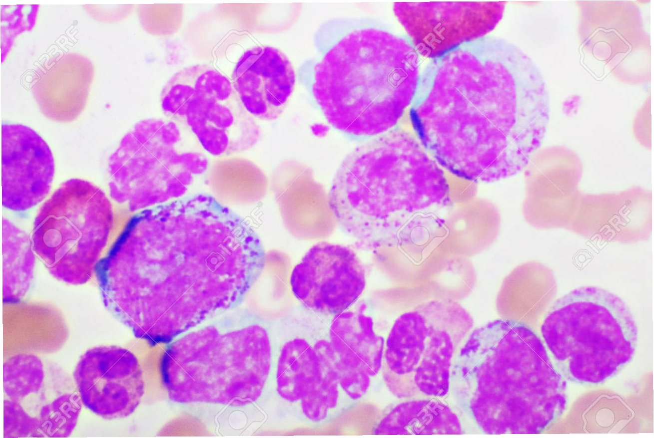
만성골수성백혈병: 이해의 시작
만성골수성백혈병(CML)은 골수에서 과도한 백혈구가 생성되는 혈액암의 일종입니다. 이는 특정 유전자 변이, 특히 BCR-ABL 유전자의 생성과 관련이 깊습니다. 이 유전자는 비정상적인 단백질을 생성하여 백혈구의 과도한 증식을 유발합니다. CML은 초기 단계에서는 증상이 거의 나타나지 않을 수 있으며, 피로감, 야간 발한, 체중 감소와 같은 일반적인 증상으로 시작될 수 있습니다. 진단은 혈액 검사 및 골수 검사를 통해 이루어지며, BCR-ABL 유전자의 존재를 확인하는 것이 중요합니다. CML은 예전에는 치명적인 질병이었지만, 현재는 효과적인 치료법의 발전으로 인해 만성 질환으로 관리될 수 있습니다. 조기 진단과 적절한 치료는 환자의 삶의 질을 향상시키고 생존율을 높이는 데 매우 중요합니다.

CML 치료의 혁신: 표적 치료제의 등장
만성골수성백혈병 치료의 획기적인 발전은 표적 치료제의 등장과 함께 시작되었습니다. 이전에는 골수 이식이 유일한 치료법이었지만, 표적 치료제는 BCR-ABL 단백질을 직접 억제하여 암세포의 증식을 막습니다. 대표적인 표적 치료제인 티로신 키나제 억제제(TKI)는 CML 환자의 생존율을 획기적으로 향상시켰습니다. 이러한 약물은 경구 투여가 가능하며, 부작용 관리가 용이하여 환자의 삶의 질을 개선하는 데 기여했습니다. 치료 효과는 매우 뛰어나, 많은 환자들이 정상적인 생활을 유지할 수 있게 되었습니다. TKI 치료는 CML 치료의 근간이 되었으며, 지속적인 연구를 통해 새로운 TKI 개발 및 기존 약물의 효과를 높이는 연구가 진행되고 있습니다. 환자 개개인의 특성에 맞는 맞춤형 치료법 개발 또한 중요한 과제입니다.
1. 티로신 키나제 억제제(TKI)의 발전: 1세대부터 3세대에 이르기까지 다양한 TKI가 개발되어 치료 효과를 높이고 부작용을 줄였습니다.
2. 분자 유전학적 반응(MMR) 달성: 치료 목표는 MMR을 달성하여 CML 세포를 최소 수준으로 유지하는 것입니다.
3. 약물 내성 극복: 약물 내성이 발생하는 경우, 다른 TKI로 변경하거나 병용 요법을 시행합니다.

삶의 질을 높이는 CML 관리
CML 치료는 단순히 질병을 관리하는 것을 넘어 환자의 삶의 질을 향상시키는 데 초점을 맞춥니다. 치료 과정에서 나타날 수 있는 부작용을 관리하고, 환자가 정상적인 일상생활을 유지할 수 있도록 돕는 것이 중요합니다. 정기적인 검진을 통해 치료 반응을 평가하고, 필요에 따라 약물 용량을 조절하거나 다른 치료법을 고려할 수 있습니다. 환자는 의료진과의 긴밀한 소통을 통해 자신의 상태를 정확하게 파악하고, 치료 계획에 적극적으로 참여해야 합니다. 건강한 식단, 규칙적인 운동, 스트레스 관리 등은 환자의 전반적인 건강을 유지하는 데 도움이 됩니다. 또한, 환우회나 지지 그룹을 통해 심리적인 지지를 얻고, 같은 질병을 겪는 사람들과 경험을 공유하는 것도 큰 도움이 될 수 있습니다. 긍정적인 마음가짐과 적극적인 자세는 치료 과정에서 매우 중요한 역할을 합니다.

미래를 향한 희망: CML 연구의 현재와 미래
CML 치료 분야는 끊임없이 발전하고 있으며, 더 나은 치료법 개발을 위한 연구가 활발히 진행되고 있습니다. 새로운 표적 치료제의 개발, 기존 약물의 효과를 높이는 연구, 그리고 부작용을 줄이는 연구 등이 이루어지고 있습니다. 특히, TKI 내성을 극복하고, 장기적인 부작용을 최소화하기 위한 연구가 중요한 과제로 남아 있습니다. 면역 치료, 유전자 치료 등 새로운 치료법의 가능성 또한 탐구되고 있습니다. 이러한 연구를 통해 CML 환자들은 더욱 효과적이고 안전한 치료를 받을 수 있을 것으로 기대됩니다. 미래에는 CML을 완치할 수 있는 치료법이 개발될 가능성도 열려 있으며, 환자들의 삶의 질을 더욱 향상시킬 수 있을 것입니다. 지속적인 연구와 투자는 CML 환자들에게 희망을 주고 있습니다.

만성골수성백혈병, 극복을 위한 여정
만성골수성백혈병은 과거에는 치명적인 질병이었지만, 현재는 효과적인 치료법의 발전으로 인해 만성 질환으로 관리될 수 있습니다. 표적 치료제의 등장으로 환자들의 생존율이 획기적으로 향상되었으며, 삶의 질 또한 개선되었습니다. 조기 진단, 적절한 치료, 적극적인 관리, 그리고 끊임없는 연구는 CML 환자들이 건강한 삶을 유지할 수 있도록 돕습니다. 희망을 잃지 않고, 의료진과 함께 이 여정을 헤쳐나간다면, 당신의 삶은 다시 아름다운 조각들로 채워질 것입니다.

자주 묻는 질문 (FAQ)
Q.CML은 완치가 가능한가요?
A.현재 CML은 완치를 목표로 하는 치료가 진행되고 있으며, 일부 환자에서는 장기간 약물 없이도 질병을 관리할 수 있는 경우도 있습니다. 하지만, 아직까지는 완치보다는 질병을 효과적으로 관리하는 것을 목표로 합니다.
Q.CML 치료의 부작용은 무엇인가요?
A.CML 치료는 부작용을 동반할 수 있으며, 이는 약물의 종류, 용량, 환자의 건강 상태에 따라 다릅니다. 흔한 부작용으로는 피로감, 근육통, 소화 불량 등이 있으며, 드물게 심각한 부작용이 발생할 수 있습니다. 의료진과 상의하여 부작용을 관리하는 것이 중요합니다.
Q.CML 환자는 어떤 생활 습관을 유지해야 하나요?
A.CML 환자는 건강한 식단을 유지하고, 규칙적인 운동을 하며, 스트레스를 관리하는 것이 중요합니다. 또한, 정기적인 검진을 통해 질병의 진행 상황을 확인하고, 의료진의 지시에 따라 치료를 받는 것이 중요합니다.

'건강' 카테고리의 다른 글
| 독감, 조용한 그림자: 당신의 건강을 위협하는 숨겨진 위험 (0) | 2025.11.25 |
|---|---|
| 암 임상시험 참여, 망설임은 NO! 지금 바로 시작하는 안전하고 효과적인 여정 (0) | 2025.11.25 |
| 소셜미디어 디톡스: 디지털 시대, 당신의 정신 건강을 위한 선택 (0) | 2025.11.25 |
| 촉촉한 겨울나기: 온열가습기, 당신의 건강을 지키는 완벽 가이드 (0) | 2025.11.25 |
| 항체약물접합체(ADC): 암 치료의 새로운 희망, 혁신적인 접근 (0) | 2025.11.25 |