대상포진, 왜 생기는 걸까요?
대상포진은 수두-대상포진 바이러스(Varicella-Zoster Virus, VZV)가 재활성화되면서 발생하는 질환입니다. 어릴 적 수두를 앓았던 사람의 신경절에 잠복해 있던 바이러스가 면역력이 약해지면 다시 활동을 시작하는 것이죠. 극심한 통증과 피부 발진을 동반하며, 심한 경우 신경통으로 이어질 수 있어 주의가 필요합니다. 마치 몸에 불이 난 듯한 통증을 유발하여 삶의 질을 떨어뜨릴 수 있습니다. 대상포진은 누구에게나 발생할 수 있지만, 고령, 면역 저하, 스트레스, 만성 질환 등이 있는 경우 발병 위험이 높아집니다. 따라서 예방과 조기 치료가 매우 중요합니다.

대상포진, 예방이 최우선입니다!
대상포진은 예방 백신 접종을 통해 상당 부분 예방할 수 있습니다. 백신은 바이러스 재활성화를 막아 발병 위험을 줄여주고, 설사 발병하더라도 증상을 완화하는 효과가 있습니다. 백신 접종은 면역력이 약해지기 쉬운 50세 이상 성인에게 특히 권장됩니다. 예방 백신 외에도 평소 건강한 생활 습관을 유지하는 것이 중요합니다. 충분한 수면, 균형 잡힌 식단, 규칙적인 운동은 면역력을 강화하여 바이러스 재활성화를 억제하는 데 도움을 줍니다. 스트레스 관리 또한 중요한데, 스트레스는 면역력을 저하시키는 주요 요인 중 하나이기 때문입니다. 명상, 요가, 취미 활동 등을 통해 스트레스를 효과적으로 관리하는 것이 좋습니다. 또한, 대상포진 예방을 위해 건강기능식품 섭취도 고려해 볼 수 있습니다.

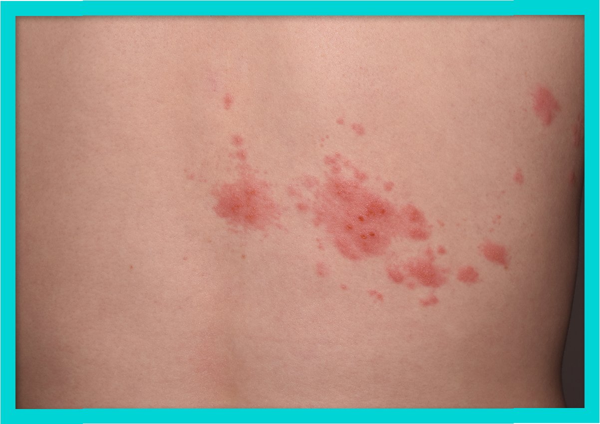
대상포진, 초기 증상 알아두기
대상포진은 초기 증상을 인지하고 빠르게 대처하는 것이 중요합니다. 발진이 나타나기 전에 몸살 기운, 피로감, 미열, 두통, 가려움 등의 증상이 나타날 수 있습니다. 이러한 증상이 나타나면 단순히 감기로 오해하기 쉽지만, 특정 부위에 통증이나 감각 이상이 느껴진다면 대상포진을 의심해 볼 필요가 있습니다. 이후에는 피부에 붉은 반점과 물집이 나타나고, 심한 통증을 동반합니다. 이러한 증상이 나타나면 즉시 병원을 방문하여 정확한 진단과 치료를 받는 것이 중요합니다. 특히, 눈 주변에 발진이 나타나는 경우에는 시력 손상 등의 합병증을 유발할 수 있으므로 더욱 주의해야 합니다. 조기 치료를 통해 통증을 완화하고 합병증 발생 위험을 줄일 수 있습니다.

대상포진, 생활 속 관리 팁
대상포진으로 진단받았다면, 의사의 지시에 따라 항바이러스제를 복용하고, 통증 완화를 위한 치료를 받아야 합니다. 또한, 생활 속에서도 증상 완화와 빠른 회복을 위한 노력이 필요합니다. 충분한 휴식을 취하고, 스트레스를 줄이는 것이 중요합니다. 물집 부위는 청결하게 유지하고, 긁지 않도록 주의해야 합니다. 통풍이 잘 되는 옷을 입고, 자극적인 음식은 피하는 것이 좋습니다. 필요에 따라 진통제를 복용하여 통증을 조절할 수도 있습니다. 회복 후에도 면역력을 유지하기 위해 건강한 생활 습관을 지속하는 것이 중요합니다. 정기적인 건강 검진을 통해 면역 상태를 확인하고, 필요한 경우 면역력 증진을 위한 노력을 기울여야 합니다.

대상포진, 궁금증 해결 Q&A
대상포진에 대한 흔한 질문과 답변을 통해 궁금증을 해소해 보세요.
1. 대상포진은 전염되나요?
대상포진은 직접적인 접촉을 통해 전염될 수 있습니다. 특히, 수두를 앓지 않은 사람에게는 수두를 유발할 수 있으므로 주의해야 합니다.
2. 대상포진 예방 백신은 효과가 얼마나 지속되나요?
백신의 효과는 개인에 따라 다르지만, 일반적으로 수 년 동안 지속됩니다. 백신 접종 후에도 정기적인 건강 검진을 통해 면역 상태를 확인하는 것이 좋습니다.
3. 대상포진은 재발할 수 있나요?
대상포진은 재발할 수 있습니다. 면역력이 약해지면 언제든지 재발할 수 있으므로, 평소 건강 관리에 힘쓰는 것이 중요합니다.
4. 대상포진 치료는 얼마나 걸리나요?
치료 기간은 개인의 상태에 따라 다르지만, 일반적으로 2~4주 정도 소요됩니다. 조기에 치료를 시작할수록 회복 기간을 단축할 수 있습니다.
5. 대상포진 후 신경통은 어떻게 치료하나요?
대상포진 후 신경통은 약물 치료, 물리 치료, 신경 차단술 등을 통해 치료합니다. 전문의와 상담하여 적절한 치료 방법을 선택하는 것이 중요합니다.

대상포진, 건강한 삶을 위한 작은 노력
대상포진은 예방과 조기 치료를 통해 충분히 극복할 수 있는 질환입니다. 백신 접종, 건강한 생활 습관, 초기 증상 인지, 그리고 적절한 치료를 통해 건강한 삶을 유지하세요. 지금 바로 당신의 건강을 위한 작은 노력을 시작해 보세요!

자주 묻는 질문 (FAQ)
Q.대상포진 백신은 모든 사람이 맞아야 하나요?
A.대상포진 백신은 50세 이상 성인에게 권장됩니다. 면역력이 약하거나 만성 질환이 있는 경우, 전문의와 상담 후 접종 여부를 결정하는 것이 좋습니다.
Q.대상포진은 완치가 가능한가요?
A.대상포진은 완치가 가능하지만, 재발의 위험이 있습니다. 면역력을 강화하고 건강한 생활 습관을 유지하여 재발을 방지하는 것이 중요합니다.
Q.대상포진 치료 시 주의사항은 무엇인가요?
A.의사의 지시에 따라 약을 복용하고, 충분한 휴식을 취하며, 물집 부위를 청결하게 유지해야 합니다. 긁거나 자극적인 음식을 섭취하는 것은 피해야 합니다.

'건강' 카테고리의 다른 글
| 올바른 운동 방법: 건강한 삶을 위한 완벽 가이드 (0) | 2025.12.28 |
|---|---|
| 남자, 입술 관리를 시작하다: 촉촉함을 넘어선 자신감 (0) | 2025.12.28 |
| 젊음 vs 노년: 대장암, 그 원인을 파헤치다 (0) | 2025.12.28 |
| AI 의료기기, ISO 13485 인증을 넘어선 '신뢰'의 약속 (0) | 2025.12.27 |
| 건강한 삶의 시작, 대장내시경 검사: 꼼꼼한 절차 안내와 궁금증 해결 (1) | 2025.12.27 |