대상포진, 낯선 불청객의 등장
대상포진은 수두-대상포진 바이러스(Varicella-Zoster Virus, VZV)가 재활성화되어 발생하는 질환입니다. 어릴 적 수두를 앓았던 사람의 신경 속에 잠복해 있던 바이러스가 면역력 저하 등의 요인으로 인해 다시 활동을 시작하며 나타납니다. 피부 발진과 심한 통증을 동반하며, 때로는 예상치 못한 후유증으로 고통을 안겨주기도 합니다. 대상포진은 누구에게나 발생할 수 있으며, 특히 면역력이 약한 고령층에서 발병률이 높습니다. 초기에 적절한 치료를 받지 않으면 만성 통증, 즉 대상포진 후 신경통(PHN)과 같은 심각한 합병증으로 이어질 수 있으므로, 증상을 정확히 인지하고 조기에 대처하는 것이 중요합니다.

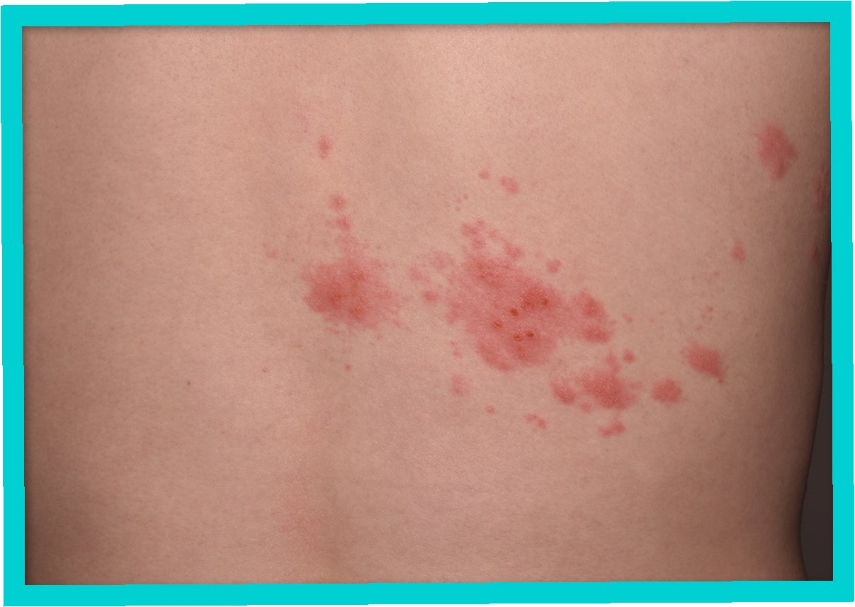
대상포진의 전형적인 징후: 피부 발진과 통증
대상포진의 가장 흔한 증상은 피부 발진과 통증입니다. 발진은 주로 몸의 한쪽, 특히 흉부나 허리에 띠 모양으로 나타나며, 수포(물집)가 무리지어 발생합니다. 발진이 나타나기 며칠 전부터 가려움, 따끔거림, 감각 이상 등의 전구 증상이 나타날 수 있습니다. 통증은 칼로 찌르는 듯한 날카로운 통증, 타는 듯한 작열감, 또는 둔하고 묵직한 통증 등 다양하게 나타나며, 발진이 사라진 후에도 지속될 수 있습니다. 이러한 통증은 밤에 더욱 심해지는 경향이 있으며, 일상생활을 심각하게 방해할 수 있습니다. 대상포진의 통증은 개인에 따라 매우 다르게 느껴지며, 심한 경우 진통제로도 조절이 어려울 수 있습니다.
1. 피부 발진: 띠 모양으로 나타나는 수포, 물집 발생
2. 통증: 칼로 찌르는 듯한 통증, 작열감, 둔한 통증
3. 전구 증상: 가려움, 따끔거림, 감각 이상

대상포진, 예상치 못한 후유증의 그림자
대상포진은 발진과 통증 외에도 다양한 후유증을 유발할 수 있습니다. 가장 흔한 후유증은 대상포진 후 신경통(PHN)으로, 발진이 사라진 후에도 3개월 이상 통증이 지속되는 경우를 말합니다. PHN은 심한 통증으로 인해 삶의 질을 크게 저하시키며, 우울증, 수면 장애 등을 동반할 수 있습니다. 또한, 눈 주위에 발진이 발생한 경우 각막염, 시력 저하 등의 안과 질환을 유발할 수 있으며, 드물게는 뇌염, 뇌졸중과 같은 심각한 합병증으로 이어지기도 합니다. 대상포진은 초기에 적절한 치료를 받으면 후유증 발생 위험을 줄일 수 있으므로, 의심되는 증상이 나타나면 즉시 병원을 방문하여 진료를 받는 것이 중요합니다.

대상포진, 치료와 관리의 중요성
대상포진 치료의 목표는 바이러스 증식을 억제하고 통증을 완화하며, 후유증 발생을 예방하는 것입니다. 항바이러스제는 바이러스 증식을 억제하는 데 효과적이며, 발진이 나타난 지 72시간 이내에 투여하는 것이 가장 효과적입니다. 통증 완화를 위해서는 진통제, 신경병증성 통증 치료제 등을 사용하며, 필요에 따라 국소 마취 연고, 스테로이드 등을 사용할 수 있습니다. 또한, 충분한 휴식과 수분 섭취, 균형 잡힌 영양 섭취는 면역력 회복에 도움이 되며, 2차 감염을 예방하기 위해 청결을 유지하는 것이 중요합니다. 대상포진 예방을 위해서는 예방 접종이 권장되며, 특히 고령층이나 면역력이 저하된 사람은 예방 접종을 통해 감염 위험을 줄일 수 있습니다.

대상포진, 궁금증 해결 Q&A
대상포진에 대한 흔한 궁금증을 Q&A 형식으로 풀어봅니다.
1. Q: 대상포진은 전염되나요?
A: 대상포진 자체는 전염되지 않지만, 수두를 앓은 적이 없는 사람에게는 수두를 유발할 수 있습니다. 대상포진 환자와의 직접적인 접촉을 피하는 것이 좋습니다.
2. Q: 대상포진 예방 접종은 효과가 있나요?
A: 예방 접종은 대상포진 발생 위험을 줄이고, 발생하더라도 증상을 완화하는 데 도움이 됩니다. 특히 고령층에게 권장됩니다.
3. Q: 대상포진은 재발할 수 있나요?
A: 대상포진은 재발할 수 있으며, 면역력이 저하된 경우 재발 위험이 높아집니다. 재발을 막기 위해서는 평소 면역력 관리가 중요합니다.

대상포진, 현명한 대처를 위한 핵심 정보
대상포진은 고통스러운 피부 발진과 후유증을 동반하는 질환입니다. 조기 진단과 치료, 그리고 예방 접종을 통해 대상포진의 고통에서 벗어나 건강한 삶을 유지할 수 있습니다. 증상이 의심된다면 즉시 의료기관을 방문하여 전문적인 진료를 받으세요.

자주 묻는 질문들, 속 시원하게 답변해 드립니다!
Q.대상포진은 왜 생기는 건가요?
A.어릴 때 수두를 일으킨 수두-대상포진 바이러스가 신경 속에 잠복해 있다가 면역력이 약해지면 다시 활성화되어 발생합니다.
Q.대상포진 예방 접종은 꼭 해야 하나요?
A.대상포진 예방 접종은 대상포진 발생 위험을 줄이고, 증상을 완화하는 데 도움이 되므로 권장됩니다. 특히 50세 이상, 면역 저하자, 만성 질환자는 예방 접종을 고려하는 것이 좋습니다.
Q.대상포진 후 신경통은 어떻게 치료하나요?
A.대상포진 후 신경통은 약물 치료(진통제, 항우울제, 항경련제 등)와 신경 차단술, 물리 치료 등을 통해 통증을 관리합니다. 전문의와 상담하여 적절한 치료 계획을 세우는 것이 중요합니다.

'건강' 카테고리의 다른 글
| 미세플라스틱, 보이지 않는 위협: 당신의 건강과 환경을 위한 안내 (0) | 2026.01.07 |
|---|---|
| 홀로 남겨진 그림자: 고독사, 우리 사회의 단면을 비추다 (0) | 2026.01.07 |
| ✨ 꿀피부, 이제 꿈이 아니에요! 맑고 건강한 피부를 위한 특별한 노하우 공개 ✨ (1) | 2026.01.07 |
| 건강한 간을 위한 안내서: 지방간, 이제는 걱정 끝! (0) | 2026.01.07 |
| 폐경, 잠 못 이루는 밤? 숙면을 위한 맞춤 솔루션 (0) | 2026.01.07 |