뇌졸중, 예방과 관리의 중요성
뇌졸중은 전 세계적으로 심각한 건강 문제 중 하나입니다. 뇌졸중은 뇌 혈관이 막히거나 터져서 뇌 조직에 손상을 입히는 질환으로, 신속하고 정확한 진단과 치료가 생존과 예후에 결정적인 영향을 미칩니다. 뇌졸중은 예방이 가능하며, 위험 요인을 관리함으로써 발병 위험을 줄일 수 있습니다. 건강한 생활 습관을 유지하고 정기적인 건강 검진을 받는 것이 중요합니다. 뇌졸중은 발생 시 즉각적인 의료 처치가 필요하며, 골든 타임 내에 적절한 치료를 받는 것이 중요합니다. 뇌졸중의 증상을 인지하고, 응급 상황에 대처하는 방법을 숙지하는 것이 중요합니다.

AI 솔루션, 뇌졸중 진단과 치료의 혁신
인공지능(AI) 기술은 뇌졸중 진단과 치료 분야에서 괄목할 만한 발전을 이루고 있습니다. AI 기반의 영상 분석 기술은 뇌 CT, MRI 등의 의료 영상에서 미세한 변화를 감지하여 뇌졸중의 조기 진단을 돕습니다. AI는 뇌졸중의 유형, 위치, 심각도를 빠르고 정확하게 파악하여 의료진의 의사 결정을 지원하며, 치료 계획 수립에 기여합니다. AI 알고리즘은 뇌졸중 환자의 예후를 예측하고, 맞춤형 재활 치료 계획을 수립하는 데 활용됩니다. AI 기술은 뇌졸중 환자의 생존율을 높이고, 후유증을 최소화하는 데 기여하며, 의료 서비스의 효율성을 향상시킵니다. AI 솔루션은 뇌졸중 치료의 새로운 지평을 열어가고 있습니다.
1. 조기 진단: AI는 의료 영상을 분석하여 뇌졸중의 징후를 조기에 감지합니다.
2. 정확한 진단: AI는 뇌졸중의 유형과 심각도를 정확하게 파악합니다.
3. 맞춤형 치료: AI는 환자 개개인에게 최적화된 치료 계획을 제시합니다.

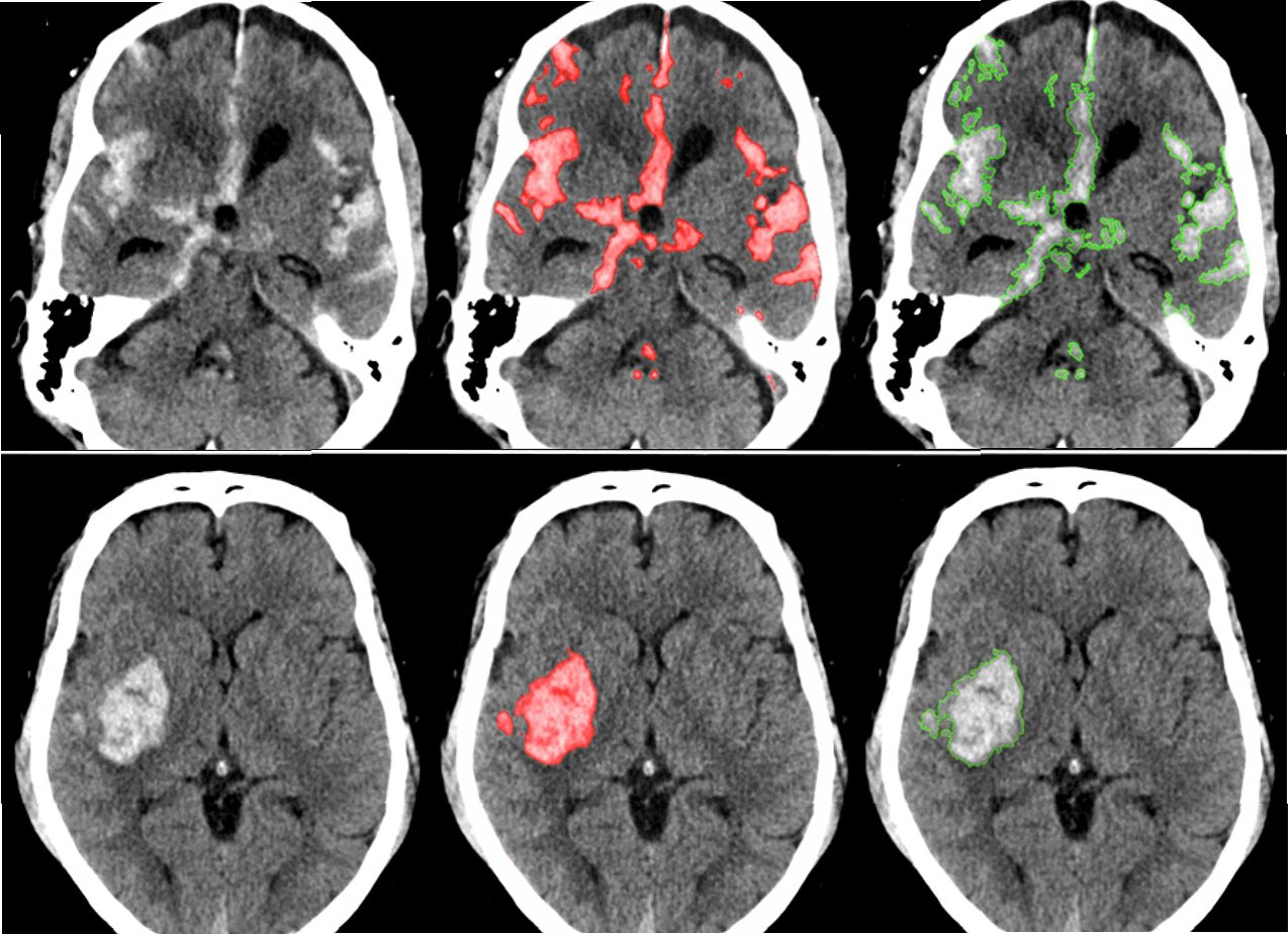
AI 기반 뇌졸중 솔루션의 실제 사례
실제 의료 현장에서 AI 기반 뇌졸중 솔루션의 활용 사례가 증가하고 있습니다. AI는 응급실에서 뇌졸중 의심 환자의 CT 영상을 분석하여 뇌출혈 여부를 빠르게 판단하고, 의료진에게 신속한 치료 결정을 돕습니다. AI는 뇌졸중 환자의 재활 치료 과정을 모니터링하고, 환자의 회복 속도에 맞춰 맞춤형 재활 프로그램을 제공합니다. AI 기반의 원격 의료 시스템은 뇌졸중 환자가 거주지에서 전문적인 의료 서비스를 받을 수 있도록 지원합니다. AI 기술은 의료진의 업무 부담을 줄이고, 환자 중심의 의료 서비스를 제공하는 데 기여합니다. AI 솔루션은 의료 자원이 부족한 지역에서도 뇌졸중 환자에게 효과적인 치료를 제공할 수 있도록 돕습니다.

AI 기술의 발전과 미래 전망
AI 기술은 지속적으로 발전하고 있으며, 뇌졸중 분야에서도 혁신적인 변화를 가져올 것으로 기대됩니다. 딥러닝 기술의 발전은 의료 영상 분석의 정확도를 높이고, 뇌졸중의 미세한 변화까지 감지할 수 있게 합니다. AI는 뇌졸중 치료제의 개발을 가속화하고, 개인 맞춤형 치료법 개발에 기여할 것입니다. AI는 뇌졸중 환자의 삶의 질을 향상시키고, 사회경제적 부담을 줄이는 데 기여할 것입니다. AI 기술은 뇌졸중 예방, 진단, 치료, 재활의 전 과정에서 혁신을 이끌어낼 것입니다. 앞으로 AI 기술은 뇌졸중 분야에서 더욱 중요한 역할을 수행할 것이며, 우리의 건강한 삶을 위한 든든한 동반자가 될 것입니다.

AI, 뇌졸중 치료의 미래를 엿보다
AI 기술은 뇌졸중의 예방, 진단, 치료, 재활 등 모든 단계에서 혁신을 가져오고 있습니다. AI는 의료진의 정확하고 신속한 의사 결정을 돕고, 환자 맞춤형 치료를 가능하게 하며, 뇌졸중 환자의 삶의 질을 향상시킬 것입니다. AI 기술의 지속적인 발전은 뇌졸중 치료의 새로운 가능성을 열어가며, 우리의 건강한 미래를 위한 중요한 발걸음이 될 것입니다.

자주 묻는 질문과 답변
Q.AI가 뇌졸중 진단에 어떻게 활용되나요?
A.AI는 의료 영상(CT, MRI 등)을 분석하여 뇌졸중의 징후를 조기에 감지하고, 뇌졸중의 유형, 위치, 심각도를 정확하게 파악하여 의료진의 진단을 돕습니다.
Q.AI 기반 뇌졸중 치료의 장점은 무엇인가요?
A.AI는 뇌졸중 환자의 생존율을 높이고, 후유증을 최소화하며, 맞춤형 치료를 가능하게 합니다. 또한 의료진의 업무 부담을 줄이고, 의료 서비스의 효율성을 향상시킵니다.
Q.AI 기술이 뇌졸중 치료에 미치는 영향은 무엇인가요?
A.AI 기술은 뇌졸중 예방, 진단, 치료, 재활의 전 과정에서 혁신을 이끌어내고 있습니다. AI는 뇌졸중 환자의 삶의 질을 향상시키고, 사회경제적 부담을 줄이는 데 기여합니다.

'건강' 카테고리의 다른 글
| 겨울, 잦아지는 소변, 혹시 배뇨장애? 꼼꼼 비교 분석! (0) | 2026.01.22 |
|---|---|
| 주가 변동성, 투자의 리듬을 춤추게 하는 파도: 숨겨진 기회와 위험을 파악하는 법 (0) | 2026.01.22 |
| 치료 저항성 우울증: 절망의 늪에서 희망을 찾는 여정 (0) | 2026.01.22 |
| 항우울제, 마음의 어둠을 밝히는 빛: 효과와 이해 (0) | 2026.01.22 |
| 시간을 거스르는 지혜: 노화 방지를 위한 5가지 핵심 비법 (0) | 2026.01.22 |