결핵, 침묵의 그림자를 마주하다
결핵은 여전히 전 세계적으로 심각한 공중 보건 문제입니다. 결핵은 폐뿐만 아니라 뼈, 림프절 등 신체의 다양한 부위에서 발생할 수 있으며, 조기에 발견하고 적절한 치료를 받는 것이 매우 중요합니다. 결핵은 전염성이 높기 때문에, 주변 사람들의 건강을 위해서라도 적극적인 검사와 치료가 필요합니다. 결핵의 주요 증상으로는 2주 이상 지속되는 기침, 발열, 야간 발한, 체중 감소 등이 있습니다. 이러한 증상이 나타난다면 즉시 의료기관을 방문하여 검사를 받아야 합니다.

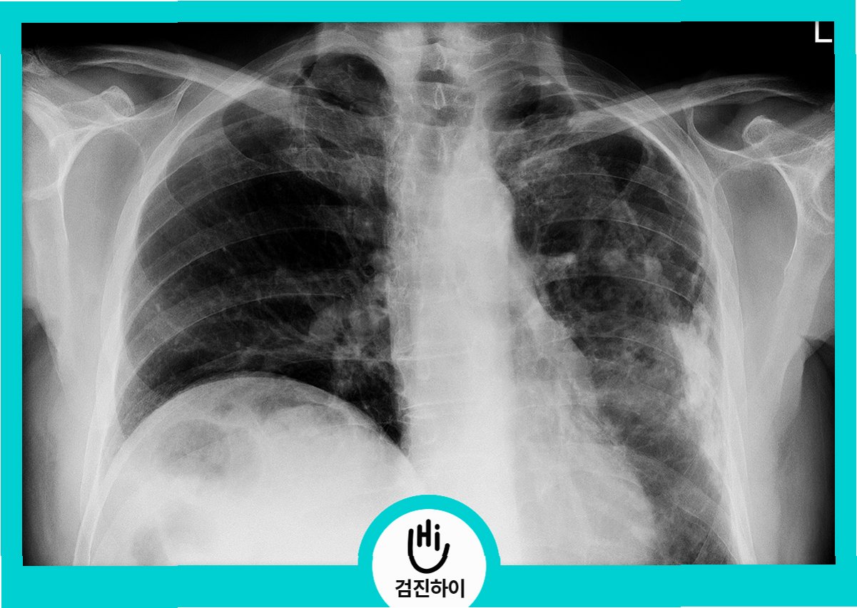
결핵 검사, 무엇을 해야 할까요?
결핵 검사는 크게 흉부 X-ray 촬영, 객담 검사, 결핵균 검사(배양 검사), 결핵 피부 반응 검사(투베르쿨린 검사) 및 혈액 검사(IGRA) 등으로 이루어집니다. 흉부 X-ray는 폐의 결핵 병변을 확인하는 데 사용되며, 객담 검사는 가래에서 결핵균을 찾아내는 검사입니다. 결핵균 검사는 결핵균의 존재 여부를 확인하는 가장 정확한 방법 중 하나입니다. 결핵 피부 반응 검사는 결핵균에 대한 면역 반응을 확인하는 검사이며, 혈액 검사는 결핵균 감염 여부를 확인하는 데 사용됩니다. 검사 방법은 환자의 상태와 의심되는 부위에 따라 결정되며, 의료진의 판단에 따라 필요한 검사가 진행됩니다. 검사 결과에 따라 추가 검사가 필요할 수도 있습니다.

결핵 치료, 어떻게 진행될까요?
결핵으로 진단받은 경우, 꾸준한 약물 치료가 필수적입니다. 결핵 치료는 여러 종류의 항결핵제를 병합하여 사용하며, 일반적으로 6개월 이상 약을 복용해야 합니다. 결핵 치료는 개인의 상태와 결핵균의 약제 내성에 따라 치료 기간과 약물의 종류가 달라질 수 있습니다. 치료 초기에 부작용이 나타날 수 있지만, 의료진의 지시에 따라 관리하면 대부분 해결됩니다. 약물 복용을 중단하거나 불규칙하게 복용하면 결핵균이 약제에 내성을 갖게 되어 치료가 더 어려워질 수 있으므로, 의료진의 지시에 따라 꾸준히 약을 복용하는 것이 중요합니다. 치료 중에는 정기적인 검사를 통해 치료 효과를 확인하고, 부작용 발생 여부를 관찰해야 합니다.

결핵 예방, 건강한 생활 습관을 실천하세요
결핵 예방을 위해서는 건강한 생활 습관을 유지하는 것이 중요합니다. 충분한 수면과 균형 잡힌 영양 섭취, 규칙적인 운동을 통해 면역력을 강화해야 합니다. 결핵 환자와 접촉할 때는 마스크를 착용하고, 환기가 잘 되는 환경을 유지하는 것이 좋습니다. 또한, 기침이나 재채기를 할 때는 입과 코를 가리고, 손을 깨끗이 씻는 등 개인위생을 철저히 지켜야 합니다. 결핵 예방 백신인 BCG 접종은 결핵 예방에 도움이 될 수 있으며, 의료진과 상담하여 접종 여부를 결정하는 것이 좋습니다. 결핵은 조기에 발견하고 적절한 치료를 받으면 완치가 가능한 질병입니다. 의심되는 증상이 있다면 주저하지 말고 의료기관을 방문하여 검사를 받고, 건강한 생활 습관을 통해 결핵으로부터 안전하게 건강을 지키시길 바랍니다.

결핵, 조기 발견과 꾸준한 치료가 답입니다!
결핵은 조기 발견과 꾸준한 치료를 통해 충분히 극복할 수 있는 질병입니다. 정기적인 검진과 건강한 생활 습관을 통해 결핵으로부터 건강을 지키세요. 의심 증상이 있다면 즉시 의료기관을 방문하여 전문가의 진료를 받는 것이 중요합니다.

결핵에 대해 궁금한 점, 무엇이든 물어보세요!
Q.결핵 검사는 얼마나 자주 받아야 하나요?
A.결핵 검사는 특별한 증상이 없더라도, 결핵 환자와의 접촉이나 위험 요인이 있는 경우 의료진과 상의하여 정기적으로 받는 것이 좋습니다.
Q.결핵 치료 중 술과 담배를 해도 되나요?
A.결핵 치료 중에는 술과 담배는 피하는 것이 좋습니다. 술과 담배는 면역력을 저하시키고, 약물 부작용을 악화시킬 수 있습니다.
Q.결핵 완치 후에도 재발할 수 있나요?
A.결핵은 완치 후에도 재발할 수 있습니다. 따라서 완치 후에도 정기적인 검진을 통해 재발 여부를 확인하는 것이 중요합니다.

'건강' 카테고리의 다른 글
| 100세, 그 이상의 삶: 장수 노인들의 비밀, 그리고 우리에게 주는 영감 (0) | 2026.01.01 |
|---|---|
| 건강, 삶의 3박자를 완성하는 비밀: 몸과 마음, 그리고 관계의 조화 (0) | 2026.01.01 |
| 침묵의 살인자, 간접흡연: 당신과 가족을 지키는 현명한 선택 (0) | 2026.01.01 |
| 흡연, 당신의 건강을 갉아먹는 그림자: 직접 흡연 vs 간접흡연, 위험의 실체 (0) | 2026.01.01 |
| 따뜻함의 미학: 뜨거운 음료와 미지근한 음료, 당신의 선택은? (0) | 2026.01.01 |