갑상선 결절, 무엇이 문제일까요?
갑상선 결절은 갑상선 내에 발생하는 덩어리를 의미하며, 매우 흔하게 발견됩니다. 대부분의 경우 양성이지만, 드물게 악성 종양, 즉 암일 수 있어 주의가 필요합니다. 결절의 크기, 위치, 그리고 환자의 증상에 따라 다양한 검사와 치료 방법이 적용됩니다. 이 글에서는 갑상선 결절의 진단부터 관리까지의 모든 과정을 자세히 살펴보겠습니다. 갑상선은 우리 몸의 대사 작용을 조절하는 중요한 호르몬을 분비하는 기관이므로, 결절 발생 시 적절한 조치를 취하는 것이 중요합니다.

갑상선 결절, 어떤 증상이 나타날까요?
갑상선 결절은 초기에는 증상이 없는 경우가 많습니다. 결절이 커지면서 목 앞부분에서 덩어리가 만져지거나, 음식을 삼키기 어려워지는 등의 증상이 나타날 수 있습니다. 결절이 갑상선 기능에 영향을 미치는 경우, 갑상선 기능 항진증 또는 저하증과 관련된 증상이 나타날 수 있습니다. 갑상선 기능 항진증의 경우, 심박수 증가, 체중 감소, 불안감 등의 증상이 나타날 수 있으며, 갑상선 기능 저하증의 경우, 피로감, 체중 증가, 추위를 타는 증상 등이 나타날 수 있습니다. 만약 위와 같은 증상이 나타난다면, 즉시 병원을 방문하여 정확한 진단을 받는 것이 중요합니다.

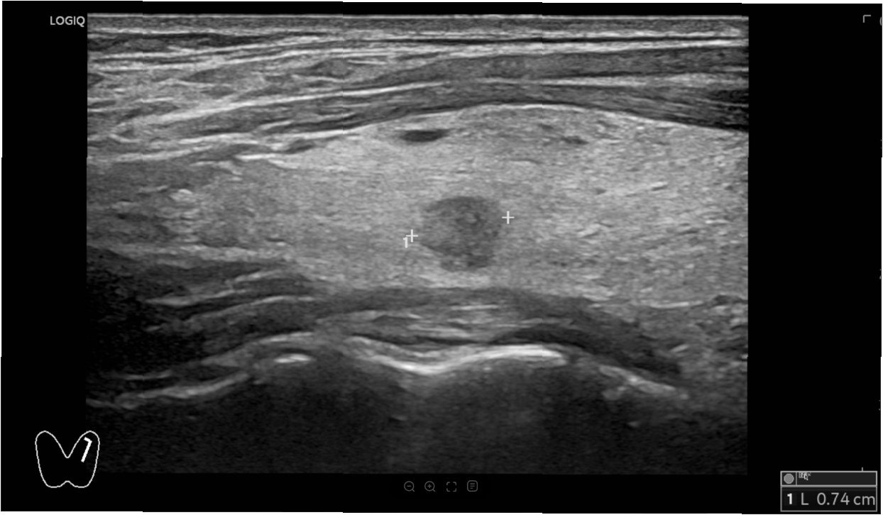
갑상선 결절, 어떻게 진단할까요?
갑상선 결절 진단은 여러 단계를 거쳐 이루어집니다.
1. 신체 검사: 의사가 목 부위를 촉진하여 결절의 크기, 모양, 위치 등을 확인합니다.
2. 혈액 검사: 갑상선 호르몬 수치(T3, T4, TSH)를 측정하여 갑상선 기능 이상 여부를 확인합니다.
3. 갑상선 초음파 검사: 갑상선 결절의 모양, 크기, 내부 구조 등을 자세히 관찰하여 결절의 특성을 파악합니다.
4. 세침 흡인 검사 (FNA): 초음파를 보면서 가는 바늘로 결절의 세포를 채취하여 현미경으로 검사, 암 여부를 판단합니다.
이러한 검사 결과를 종합하여 결절의 성격을 판단하고, 적절한 치료 계획을 수립합니다.

갑상선 결절, 치료 방법은 무엇일까요?
갑상선 결절의 치료 방법은 결절의 종류, 크기, 증상, 그리고 환자의 전반적인 건강 상태에 따라 다릅니다.
* 경과 관찰: 결절이 작고, 증상이 없으며, 악성 의심 소견이 없는 경우, 정기적인 초음파 검사를 통해 경과를 관찰합니다.
* 약물 치료: 갑상선 기능 이상이 동반된 경우, 갑상선 호르몬 제제를 복용하여 갑상선 기능 저하증을 치료하거나, 항갑상선제를 복용하여 갑상선 기능 항진증을 치료합니다.
* 수술: 결절이 크거나, 악성 의심 소견이 있거나, 압박 증상(호흡 곤란, 연하 곤란 등)을 유발하는 경우, 수술을 통해 결절을 제거합니다.
* 고주파 열 치료 (RFA): 양성 결절의 크기를 줄이기 위해 고주파 열을 이용하여 결절을 파괴하는 시술입니다.
어떤 치료 방법을 선택할지는 의료진과 충분히 상의하여 결정해야 합니다.

갑상선 결절, 일상생활에서의 관리 요령
갑상선 결절 환자는 정기적인 검진을 통해 결절의 변화를 지속적으로 관찰하는 것이 중요합니다. 또한, 갑상선 기능 이상이 있는 경우, 의료진이 처방한 약물을 꾸준히 복용하고, 식이요법과 생활 습관을 개선하여 갑상선 기능의 균형을 유지해야 합니다. 요오드 섭취는 갑상선 기능에 영향을 미칠 수 있으므로, 과도한 섭취는 피하는 것이 좋습니다. 스트레스는 갑상선 기능에 부정적인 영향을 미칠 수 있으므로, 스트레스 관리에도 신경 써야 합니다. 규칙적인 운동과 충분한 수면을 통해 건강한 생활 습관을 유지하는 것이 중요합니다.

건강한 갑상선, 행복한 삶을 위한 여정
갑상선 결절은 흔하게 발생하는 질환이지만, 적절한 진단과 관리를 통해 건강하게 관리할 수 있습니다. 정기적인 검진, 의료진과의 상담, 그리고 건강한 생활 습관을 통해 갑상선 건강을 지키고, 활기찬 삶을 누리세요. 갑상선 결절은 당신의 건강을 위협하는 존재가 아니라, 더욱 건강한 삶을 위한 여정의 시작점이 될 수 있습니다.

자주 묻는 질문과 답변
Q.갑상선 결절은 왜 생기는 건가요?
A.갑상선 결절의 정확한 원인은 아직 밝혀지지 않았습니다. 하지만, 유전적인 요인, 요오드 결핍, 자가면역 질환, 방사선 노출 등이 관련 있는 것으로 알려져 있습니다.
Q.갑상선 결절은 암으로 발전할 수 있나요?
A.대부분의 갑상선 결절은 양성이지만, 드물게 암으로 발전할 수 있습니다. 따라서, 정기적인 검진을 통해 결절의 변화를 관찰하는 것이 중요합니다.
Q.갑상선 결절 치료 후에는 어떻게 관리해야 하나요?
A.갑상선 결절 치료 후에도 정기적인 검진을 통해 재발 여부를 확인하고, 갑상선 기능에 문제가 있다면, 약물 치료를 꾸준히 받아야 합니다. 또한, 건강한 생활 습관을 유지하고, 의료진의 지시에 따라 관리하는 것이 중요합니다.

'건강' 카테고리의 다른 글
| 스마트폰, 당신의 손안의 마법: 더욱 현명하게 활용하는 꿀팁 대방출! (0) | 2025.12.01 |
|---|---|
| 갱년기, 건강한 삶을 위한 운동의 특별한 지혜 (0) | 2025.12.01 |
| 무릎 부상 없이 즐겁게 달리는 법: 러닝 초보자를 위한 무릎 건강 관리 완벽 가이드 (0) | 2025.12.01 |
| 대상포진 백신, 10년 예방 효과를 넘어선 놀라운 이야기 (0) | 2025.12.01 |
| 콜라겐, 당신의 건강을 디자인하다: 섭취의 모든 것 (0) | 2025.12.01 |