이슈

한국 남성 건강 적신호: '허리 통증' 뒤에 숨겨진 전립선암의 위험

joeunday 2025. 7. 11. 15:16
반응형

전립선암, 한국 남성을 위협하는 그림자

고령화 사회로의 진입과 서구화된 식습관의 영향으로, 한국 남성에게 전립선암 발병률이 심각하게 증가하고 있습니다. 2022년 통계에 따르면 전립선암은 한국 남성에게 네 번째로 흔한 암으로 자리 잡았으며, 암 발병 추세가 지속될 경우, 조만간 폐암에 이어 두 번째로 흔한 암이 될 것으로 예측됩니다. 이는 단순히 숫자의 문제가 아닌, 남성 건강을 심각하게 위협하는 중요한 문제입니다.

 

 

 

 

증상이 없는 '침묵의 암', 정기 검진의 중요성

전립선암은 초기 증상이 거의 없어, 환자들이 질병을 인지하기 어렵다는 특징이 있습니다. 이러한 특성 때문에 치료 시기를 놓치는 경우가 많아, 정기적인 검진의 중요성이 더욱 강조됩니다. 11일 세계일보의 보도에 따르면, 전립선암 환자 수는 10년 만에 두 배 이상 증가하며 심각성을 더하고 있습니다. 조기 발견과 적절한 치료만이 전립선암으로부터 건강을 지키는 방법입니다.

 

 

 

 

고령, 가족력, 식습관… 전립선암 발병의 주요 원인

전립선암은 고령, 가족력, 남성 호르몬, 그리고 서구식 식습관 등 다양한 요인에 의해 발병할 수 있습니다. 특히, 고지방 식이는 전립선암 발병률을 높이는 주요 원인으로 지목되고 있습니다. 홍성후 서울성모병원 비뇨의학과 교수는 인터뷰를 통해 이러한 위험 요인들을 강조하며, 건강한 식습관의 중요성을 역설했습니다. 건강한 식습관은 전립선암 예방의 첫걸음입니다.

 

 

 

 

전립선의 기능과 전립선암의 특징

전립선은 방광 아래에 위치하며, 정액 생성과 배뇨 기능에 중요한 역할을 담당하는 남성 생식 기관입니다. 전립선암은 이러한 전립선에서 발생하는 암으로, 초기에는 무증상에 가까워 환자들이 질병을 인지하기 어렵습니다. 배뇨 곤란, 잔뇨감 등 전립선 비대증과 유사한 증상으로 오인하기 쉬워, 더욱 주의가 필요합니다. 전립선암에 대한 정확한 이해가 중요합니다.

 

 

 

 

허리 통증? 골절?… 전립선암 뼈 전이의 위험성

전립선암은 뼈로 전이될 경우, 허리 통증이나 골절과 같은 증상을 유발할 수 있습니다. 이로 인해 정형외과를 방문했다가 전립선암을 늦게 발견하는 경우가 발생합니다. 뼈 전이가 진행된 전립선암의 경우, 5년 생존율이 낮아지므로 조기 진단과 치료가 매우 중요합니다. 뼈 전이는 전립선암의 심각성을 보여주는 지표입니다.

 

 

 

 

전립선암 진단과 치료 방법

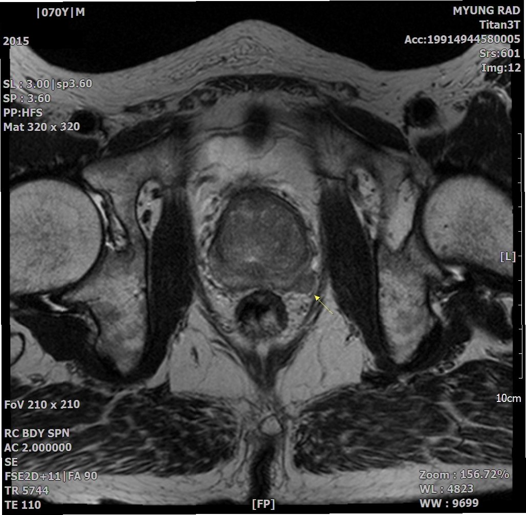
전립선암 진단은 PSA(전립선 특이항원) 혈액 검사를 통해 시작됩니다. PSA 수치가 높게 나타나면 MRI 촬영을 통해 암 의심 부위를 확인하고, 조직 검사를 통해 확진합니다. 치료 방법으로는 수술적 치료와 약물 치료가 있습니다. 수술은 전립선과 정낭을 제거하는 과정이며, 약물 치료는 남성 호르몬을 차단하여 암의 성장을 억제하는 것을 목표로 합니다. 조기 진단과 적절한 치료가 중요합니다.

 

 

 

 

전립선암 예방을 위한 생활 습관

전립선암 예방을 위해서는 건강한 식습관과 정기적인 검진이 필수적입니다. 홍성후 교수는 고지방 식이를 피하고, 토마토, 콩, 채소류 등 전립선암 예방에 도움이 되는 음식을 섭취할 것을 권장했습니다. 가족력이 있는 경우, 40세부터 PSA 검사를 받는 것이 좋습니다. 건강한 생활 습관과 조기 검진으로 전립선암을 예방하세요.

 

 

 

 

전립선암, 한국 남성을 위협하는 '침묵의 암'… 조기 진단과 예방이 최선

전립선암은 초기 증상이 없어 조기 발견이 어렵지만, 꾸준한 정기 검진과 건강한 생활 습관을 통해 충분히 예방할 수 있습니다. 고령화, 서구화된 식습관 등 위험 요인을 인지하고, 40세 이상 남성은 PSA 검사를 통해 자신의 건강 상태를 확인하는 것이 중요합니다. 건강한 삶을 위해, 전립선암 예방에 적극적으로 동참합시다.

 

 

 

 

전립선암에 대한 궁금증, Q&A로 풀어보세요!

Q.전립선암의 주요 증상은 무엇인가요?

A.전립선암은 초기 증상이 거의 없어, 배뇨 곤란, 빈뇨, 잔뇨감 등의 증상이 나타날 수 있지만, 전립선 비대증과 유사하여 구분하기 어려울 수 있습니다.

 

Q.전립선암 진단은 어떻게 이루어지나요?

A.PSA(전립선 특이항원) 혈액 검사를 통해 시작되며, 수치가 높으면 MRI 촬영 후 조직 검사를 통해 확진합니다.

 

Q.전립선암을 예방하기 위한 방법은 무엇인가요?

A.고지방 식이를 피하고, 토마토, 콩, 채소류 등 전립선암 예방에 도움이 되는 음식을 섭취하며, 40세부터는 정기적인 PSA 검사를 받는 것이 좋습니다.

 

 

 

 

 

 

반응형