육종, 몸 속 숨은 그림자: 당신이 알아야 할 모든 것
육종, 그 이름의 의미
육종(Sarcoma)은 우리 몸의 연결 조직에서 발생하는 암의 일종입니다. 뼈, 근육, 지방, 혈관, 신경 등 다양한 부위에서 기원하며, 그 종류가 100가지가 넘을 정도로 다양합니다. 육종은 다른 암에 비해 발생 빈도가 낮지만, 진단과 치료가 까다로워 주의가 필요합니다. 육종은 주로 연조직 육종과 골육종으로 분류되며, 각 종류에 따라 증상, 진단, 치료법이 다릅니다. 이 글에서는 육종의 기본적인 개념과 종류, 그리고 우리가 알아야 할 정보들을 자세히 알아보겠습니다.

육종, 어디에서 시작될까?
육종은 우리 몸의 다양한 부위에서 발생할 수 있습니다. 연조직 육종은 팔, 다리, 몸통 등 연조직에 주로 발생하며, 골육종은 뼈에서 시작됩니다. 육종의 정확한 발생 원인은 아직 명확하게 밝혀지지 않았지만, 유전적 요인, 방사선 노출, 특정 화학 물질 노출 등이 위험 요인으로 작용할 수 있습니다. 특히, 소아 및 청소년에게서 골육종 발생률이 높은 경향을 보이며, 유전적 소인이 있는 경우에도 발병 위험이 높아집니다. 육종은 초기 증상이 모호하여 발견이 늦어지는 경우가 많으므로, 평소 몸의 변화에 관심을 가지고 주의 깊게 관찰하는 것이 중요합니다.

육종의 종류, 다양성을 이해하다
육종은 발생하는 부위와 조직에 따라 매우 다양한 종류로 나뉩니다. 크게 연조직 육종과 골육종으로 구분하며, 각 유형별로 세부적인 종류가 존재합니다. 연조직 육종에는 지방 육종, 평활근 육종, 섬유 육종 등이 있으며, 골육종에는 골육종, 연골 육종, 유잉 육종 등이 있습니다. 각 육종의 종류에 따라 증상, 진행 속도, 치료 방법이 다르므로, 정확한 진단과 분류가 매우 중요합니다. 예를 들어, 지방 육종은 지방 조직에서 발생하며, 비교적 천천히 진행되는 경향이 있습니다. 반면, 유잉 육종은 주로 소아 및 청소년에게 발생하며, 공격적인 성향을 보이는 경우가 많습니다. 육종의 종류에 대한 정확한 이해는 효과적인 치료 계획 수립의 첫걸음입니다.

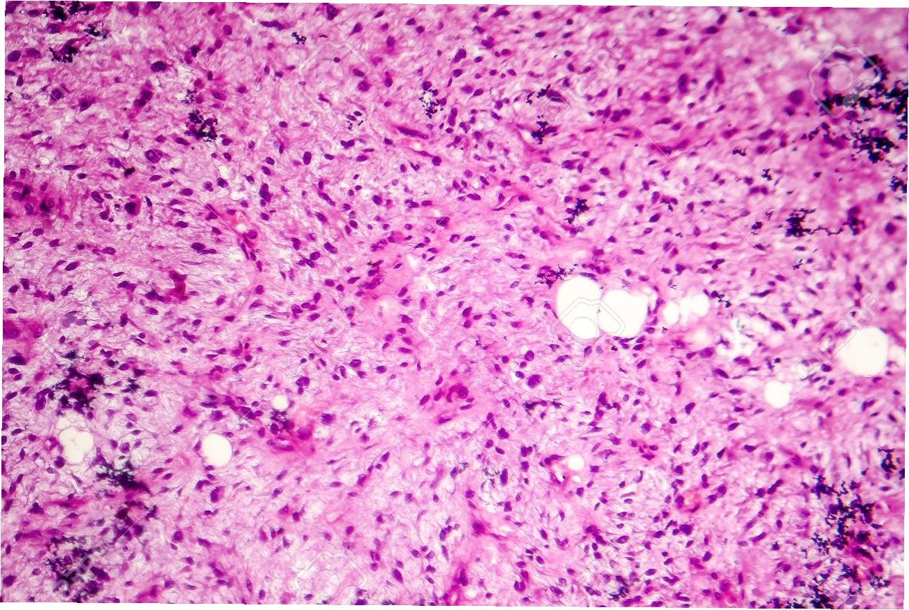
육종, 어떻게 진단할까?
육종의 진단은 신체 검사, 영상 검사, 조직 검사 등을 통해 이루어집니다. 신체 검사에서는 종괴의 크기, 위치, 통증 유무 등을 확인하며, 영상 검사로는 X-ray, CT, MRI, 초음파 등이 사용됩니다. 특히 MRI는 연조직 육종의 정확한 진단에 매우 유용하며, CT는 전이 여부를 확인하는 데 사용됩니다. 조직 검사는 육종을 확진하는 가장 중요한 방법으로, 종괴의 일부를 채취하여 현미경으로 관찰하여 육종의 종류를 판별합니다. 조직 검사 결과는 치료 계획 수립에 결정적인 역할을 합니다. 정확한 진단을 위해서는 숙련된 의료진의 판단과 전문적인 검사 시스템이 필수적입니다.

육종, 치료는 어떻게 진행될까?
육종의 치료는 종괴의 위치, 크기, 종류, 환자의 전신 상태 등을 고려하여 결정됩니다. 일반적으로 수술, 방사선 치료, 항암 화학 요법 등이 사용되며, 필요에 따라 여러 치료법을 병행하기도 합니다. 수술은 육종을 제거하는 가장 기본적인 치료법이며, 종괴의 위치와 크기에 따라 절제 범위가 결정됩니다. 방사선 치료는 수술 전후 또는 수술이 불가능한 경우에 사용되며, 암세포를 파괴하는 역할을 합니다. 항암 화학 요법은 암세포의 성장을 억제하는 약물을 사용하여 전신적인 치료를 가능하게 합니다. 최근에는 표적 치료제와 면역 치료제 등 새로운 치료법이 개발되어 육종 치료의 효과를 높이고 있습니다. 치료 과정은 환자 개개인의 특성에 맞춰 신중하게 결정되며, 의료진과의 충분한 상담을 통해 최적의 치료 계획을 수립하는 것이 중요합니다.

육종, 예방과 관리의 중요성
육종의 정확한 예방법은 아직 밝혀지지 않았지만, 위험 요인을 줄이기 위한 노력이 필요합니다. 흡연, 과도한 음주, 불필요한 방사선 노출 등을 피하고, 건강한 식습관과 규칙적인 운동을 통해 면역력을 강화하는 것이 좋습니다. 또한, 몸에 이상 증상이 나타나면 즉시 의료기관을 방문하여 정확한 진단을 받는 것이 중요합니다. 특히, 뼈나 근육에 덩어리가 만져지거나, 통증이 지속되는 경우, 또는 체중 감소 등의 증상이 나타나면 반드시 전문의와 상담해야 합니다. 육종은 조기에 발견하여 치료할수록 예후가 좋으므로, 정기적인 건강 검진을 통해 몸의 변화를 꾸준히 관찰하는 것이 중요합니다.

육종, 숨겨진 그림자를 넘어 희망을 향해
육종은 다양한 종류와 복잡한 치료 과정을 거치는 질병이지만, 조기 진단과 적절한 치료를 통해 충분히 극복할 수 있습니다. 육종에 대한 정확한 이해와 꾸준한 관리, 그리고 의료진과의 적극적인 협력을 통해 건강한 삶을 되찾을 수 있습니다. 육종은 더 이상 절망적인 질병이 아닙니다. 희망을 잃지 않고, 적극적으로 치료에 임한다면, 우리는 육종이라는 그림자를 넘어 더 밝은 미래를 향해 나아갈 수 있습니다.

육종에 대한 궁금증, 속 시원하게 풀어드립니다!
Q.육종은 유전적인 요인으로 발생할 수 있나요?
A.네, 육종은 유전적인 요인이 일부 작용할 수 있습니다. 특정 유전자 변이가 있는 경우 육종 발생 위험이 높아질 수 있으며, 가족력이 있는 경우에도 주의가 필요합니다.
Q.육종은 완치가 가능한가요?
A.육종은 조기에 발견하여 치료하면 완치가 가능합니다. 치료 방법과 예후는 육종의 종류, 진행 정도, 환자의 상태 등에 따라 다르므로, 전문의와 상담하여 정확한 정보를 얻는 것이 중요합니다.
Q.육종 예방을 위해 어떤 노력을 해야 하나요?
A.육종의 정확한 예방법은 없지만, 건강한 생활 습관을 유지하고, 위험 요인을 줄이는 것이 중요합니다. 정기적인 건강 검진을 통해 조기에 이상 징후를 발견하고, 전문의와 상담하여 적절한 조치를 취하는 것이 중요합니다.
